Крошатся зубы: что делать?
Иногда проблемы с зубами проявляют себя не острой болью. Небольшие сколы, трещины, повышенная чувствительность - все эти симптомы говорят: что-то не в порядке.
Давайте разбираться, почему зубы крошатся и как сохранить их крепкими?
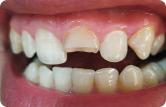
Если у вас хорошие зубы с рождения, это ещё не значит, что истории про то, как зубы скалываются, не про вас. Зубы могут начать крошиться внезапно. Обычно это происходит вследствие постепенного разрушения эмали, а также ослабления внутреннего дентина. Процесс выглядит так: эмаль теряет прочность, на зубе появляются микротрещины, затем кусочки постепенно откалываются. А вот причины, вызвавшие разрушение зуба, различны.
Почему крошатся зубы?
Рассмотрим основные причины из-за чего может страдать эмаль зубов:
- Наследственность. С генетикой ничего не поделать. У кого-то эмаль изначально более тонкая, поэтому подвержена поражениям и кариесу. И малейшее несоблюдение правил - и зуб скололся.
- Заболевания зубов и десен. Если развивается кариес, он, естественно, влияет на состояние полости рта в целом. Зубы становятся более хрупкими. При избытке фтора, появляются пятна на эмали, а сама эмаль становится настолько плотной, что начинает буквально отваливаться. Влияют на состояние зубов пародонтоз и гингивит, то есть любое воспаление десен. Эти заболевания ослабляет прикорневую часть зуба.
- Прием некоторых препаратов. Например, если вы длительно принимаете антибиотики, то зубы страдают. Эти препараты влияют на количество слюны, а когда ее мало - во рту начинают развиваться бактерии.
- Вредные привычки. Например, курение препятствует поступлению минералов в кровь, что вызывает хрупкость зубов. Естественно, не на пользу, если вы грызете ногти, колете зубами орехи, кусаете твердые предметы. Это вызывает сколы и трещины на эмали.
- Неправильная гигиена. Если вы используете слишком жесткие щетки, домашние средства отбеливания (без рекомендации стоматолога), то автоматически сами же истончаете эмаль.
- Нарушение прикуса. Если прикус с аномалиями, то возникает излишнее трение зубов. И рано или поздно неравномерная нагрузка приводит к крошению.
- Гормональный дисбаланс. Гормоны влияют на плотность костей. Поэтому, к примеру, к женщин в период менопаузы или при некоторых эндокринных заболеваниях ломкость зубов повышается.

Как распознать, что с зубами что-то не так?

- Чувствительность зубов. Когда внезапно появилась реакция на горячее, холодное, кислое.
- Излишний налет. Его вы можете даже ощущать языком на тех поверхностях, которые не видите в зеркало.
- Изменение цвета эмали. Внезапно на каком-то из зубов может появиться пятно.
- Состояние десен. Если десна кровоточит, опухла, это также симптом, что с зубами что-то не так.
Что делать, если крошатся зубы?
Главное - сразу обратиться к врачу. Если процесс разрушения эмали уже запущен, его не остановить домашними методами. Зато если игнорировать первые симптомы, то ситуация будет усугубляться. Чем раньше врач найдет причину, тем больше шанс обойтись без дорогого лечения.
Как лечат зубы, если они крошатся?
В каждом конкретном случае схема лечения подбирается индивидуально. Например, в клиниках «Приор-М» на первом приеме врач проведет тщательную диагностику и уже на основании этих данных примет решение, как действовать.
На первом этапе, если ещё нет сколов, врач, вероятно, посоветует укрепить эмаль реминерализацией. На зубы наносится состав с содержанием кальция, фосфора и фтора. Также благотворно влияет изменение питания: побольше клетчатки и поменьше углеводов, и по показаниям прием витаминов (кальция и витамина D).
А вот когда зубы уже разрушаются, то здесь потребуется более длительное и серьезное лечение: либо реставрация зуба пломбой, вкладкой, коронкой, либо установка виниров.
В случае серьезных аномалий прикуса к процессу подключится врач-ортодонт. Здесь нужна будет коррекция зубного ряда, установка брекетов или других систем.



Что делать для профилактики крошения зубов?
Самое главное, особенно если у вас плохая генетика и в семье у всех плохие зубы - это своевременные профилактические приемы у стоматолога. Желательно посещать врача каждые 6 месяцев.
Ещё одна рекомендация - грамотная домашняя гигиена без жестких щеток и агрессивных составов. Правильные средства для ухода подберет лечащий врач. Наконец, важно следить за своим питанием, дефицитом витаминов и минералов, внимательно осматривать зубы на наличие трещин и сколов. Вы всегда можете задать любой вопрос врачам клиник «Приор-М» и вам подскажут, какие меры предпринять, чтобы надолго сохранить здоровье зубов.
Оставьте свой номер и мы Вам перезвоним, ответим на все вопросы и постараемся решить Ваш вопрос максимально быстро.