Огромное СПАСИБО Сивковской Марии Евгеньевне !!! Делала 11.12.26 резекцию трех зубов. Боялась очень. Но Мария Евгеньевна в паре с хирургом Романом Сергеевичем Габовым сделали все четко. Сейчас уже все заживает. Спасибо докторам ! Медсестра была вроде бы Диана- спасибо и ей. К Марии Евгеньевне пришла по рекомендации другого врача, о чем не жалею ! Побольше бы таких врачей - спокойных, внимательных , деликатных , со светлой головой и золотыми руками ! Мария Евгеньевна - спасибо вам огромное !!!
Лечение пародонтита
Если вас беспокоит кровоточивость десен, неприятный запах изо рта или чувствительность эмали — это повод посетить стоматолога. Ведь именно таковы симптомы пародонтита — воспалительного заболевания, которое приводит к потере зубов.
Почему нужно лечить пародонт в «Приор-М»?
200+
Профессионалов в команде
30лет
Суммарный опыт наших врачей-терапевтов
Пояснения врача «Приор-М»
Пародонтит — это воспаление, его вызывают микроорганизмы зубного налета, которые остаются в полости рта при неправильной гигиене. Частички пищи в углублении между десной и тканью зуба — благоприятная питательная среда для размножения бактерий.
Развитию заболевания также способствуют травмы зубов, некачественные пломбы, ошибки протезирования, травмы десны из-за твердой пищи или слишком жесткой щетки, курение и даже пользование зубочистками.
Коварство заболевания в том, что первые симптомы кажутся безобидными. Например, с кровоточивостью десен некоторые живут много лет. Но если игнорировать пародонтит и его симптомы на начальном этапе, впоследствии он переходит в пародонтоз — зубы становятся подвижными, отклоняются от своего нормального положения, корни оголяются. Все заканчивается потерей зубов.
Современныетехнологии позволяют вылечить заболевание практически на любой стадии, но все-таки, чем раньше обратиться к пародонтологу, тем эффективнее будет процесс.
Особенности пародонтологического лечения в «Приор-М»
Дипломированные специалисты
При лечении пародонтита очень важно видеть проблему в комплексе. Именно так подходят к лечению в клиниках «Приор-М».
Диагностика и лечение заболеваний пародонта и диспансерное наблюдение у пародонтолога ведется в соответствии с современными требованиями мировой пародонтологии.
Зарекомендованная брекет-система
В реабилитации при необходимости принимают участие многие специалисты.
Терапевт корректирует травмирующие десну пломбы, ортодонт нормализует прикус, устранив очаги скопления налета при скученном положении зубов или «собрав» зубы при их веерообразном расхождении. Хирург выполнит коррекцию тканей при значительной их убыли, ортопед проведет правильное протезирование. Пародонтолог же снимет все зубные отложения, ликвидирует воспаление и проведет регенерацию тканей.
Большой опыт работы
Для удаления отложений в клиниках «Приор-М» используются ультразвуковые комплексы Сателек (Франция) с разнообразными насадками (максимально эффективными и безболезненными). А кроме зарекомендовавшего себя аппарата Vector (Германия) в арсенале пародонтологов есть и современная технология - фотодинамическая терапия (ФДТ) или лечение лазером.
Этапы пародонтологического лечения в клинике «Приор-М»
1-й этап
2-й этап
3-й этап
Цены на лечение
| Профессиональная гигиена полости рта | от 5 470 руб. |
| Обработка аппаратом Vector 1 челюсть | от 5 130 руб. |
| Фотодинамическая терапия с применением лазера | от 10 060 руб. |
| Плазмолифтинг (1 сеанс) | от 8 000 руб. |
| Плазмолифтинг (3 сеанса) | от 20 980 руб. |
| Смотреть весь прайс-лист на услуги клиники «Приор-М» | |
| Профессиональная гигиена полости рта | от 5 470 руб. |
| Обработка аппаратом Vector 1 челюсть | от 5 130 руб. |
| Фотодинамическая терапия с применением лазера | от 10 060 руб. |
| Плазмолифтинг (1 сеанс) | от 8 000 руб. |
| Плазмолифтинг (3 сеанса) | от 20 980 руб. |
| Смотреть весь прайс-лист на услуги клиники «Приор-М» | |
Записаться на прием
Оставьте ваши контактные данные, наш администратор вам перезвонит и поможет записаться на прием к врачу.
Фотогалерея
Пациенты спрашивают
Что делать для профилактики пародонтита?
Первое, что необходимо для профилактики пародонтита — регулярные осмотры у стоматолога (1-2 раза в год). Особенно важно взять такие визиты за правило, если есть какие-то симптомы воспаления или повышена чувствительность зубов.
Второй важный момент — ежедневная тщательная гигиена зубов. Обо всех правилах врачи «Приор-М» обязательно напоминают на консультации. Основное: движения щетки во время чистки должны быть к режущему краю, а сама гигиена проводится не менее 5 минут.
Для десен очень полезна твердая пища — она помогает убрать налет. Также хорошие спутники в уходе за деснами — ирригатор и зубная нить. Наконец, важно поддерживать иммунитет в целом — укреплять его, заваливаться, пить витамины.
При соблюдении этих рекомендаций, а также назначения вашего пародонтолога, вы сможете надолго сохранить здоровую улыбку.
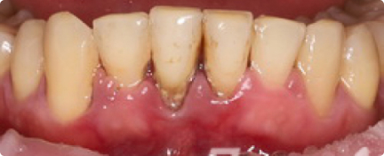
Пародонтит. До лечения
Пародонтит. После лечения
Другие вопросы
Задать вопросБоюсь лечить зубы. Что делать?
Ответ: Рекомендуется первый раз просто прийти на консультацию: осмотреться в клинике, привыкнуть к атмосфере, поговорить с врачом, понять, что обычный осмотр у стоматолога в кресле не несет болезненных ощущений. Хорошо помогают дыхательные медитации и спокойная расслабляющая музыка. Когда вы уже освоитесь в клинике и привыкните к врачу, начинайте лечение. Помните, что сегодня у стоматологов самое современное и безопасное обезболивание. И обычно пациент в ходе процедуры ничего не чувствует. Однако врач всегда предупреждает, что если вдруг в процессе вы ощутите дискомфорт, вы можете подать сигнал — поднять вверх палец — и врач прекратит манипуляцию. Эта возможность также действует успокаивающе.
Свернуть -
Когда стоит пойти к пародонтологу?
Ответ:
Свернуть -
Задать свой вопрос
Врачи-пародонтологи «Приор-М»
- пн-сб: 09:00-22:00
- вс: 09:00-18:00
- пн-сб: 09:00-22:00
- вс: 09:00-18:00
- пн-сб: 09:00-22:00
- вс: 09:00-18:00
- пн-сб: 09:00-22:00
- вс: 09:00-18:00
- пн-сб: 09:00-22:00
- вс: 09:00-18:00
- пн-сб: 09:00-22:00
- вс: 09:00-18:00
- пн-сб: 09:00-22:00
- вс: 09:00-18:00
- пн-сб: 09:00-22:00
- вс: 09:00-18:00
Хочу выразить благодарность Пастуховой Екатерине Александровне, очень понравился подход к лечению. Зубы и десны были в запущенном состоянии (опущение десны). Екатерина Александровна на консультации написала план общий план лечения поэтапно: проф.гигиена, вектор, стоматолог-терапевт, стоматолог-хирург
Уже после двух гигиен заметна разница, десна началась восстанавливаться и я уже продолжаю лечение у стоматолога-терапевта. Теперь обязательно гигиена полости рта каждые пол года и только в Приор-М и у этого врача.
Хотела бы выразить благодарность врачу Полторацкому Владимиру Владимировичу! Очень качественно и быстро выполняет работу! Я всегда очень довольна профессиональной чисткой и рекомендациями по уходу за зубами! В данной клинике работают настоящие профессионалы!
В клинике "Приор-М" лечусь с 2010 года. Верна ей, так как меня ведет замечательный доктор - Свалова Анастасия Валерьевна - высочайший профессионали чуткий человек. Спасибо ей и всему коллективу за ваш труд!
Очень рад, что лечит такой внимательный врач!
Оставьте свой номер и мы Вам перезвоним, ответим на все вопросы и постараемся решить Ваш вопрос максимально быстро.


