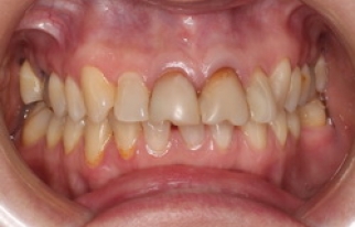
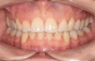
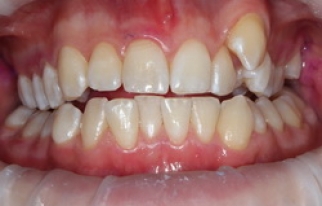
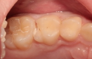
Результаты работ

Врачи стоматологической клиники «Приор-М» справляются даже с самыми сложными случаями. Они восстановят эстетику и функциональность зубного ряда с помощью новейшего оборудования и проверенных технологий. Примеры работ вы можете посмотреть на этой странице. Здесь собраны фотоотчеты о лечении в нашей клинике.

Все врачи Агейкина А.Е. Алейник О.Л. Бадан К.В. Бояршинова Н.Н. Бухтоярова О.М. Голдобин Р.В. Евтюгина А.В. Ермолина В.А. Замула А.Ю. Каледин Д.С. Конева М.С. Липатова Е.В. Ломаков В.Ю. Мещенко А.Г. Михайлова В.С. Мячикова М.А. Нафикова Т.А. Панова Е.В. Пономарева А.А. Самусева Л.В. Смирнов М.В. Солодовникова Е.А. Сорокин К.В. Старцева А.А. Ткаченко М.В. Топор О.В. Устименко О.В. Устьянцева Е.А. Чернобровина С.А. Яркин Д.А.
Гигиена полости рта у ребенка с молочным прикусом
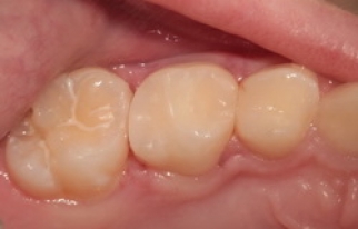
Лечение кариеса постоянного зуба у подростка 12 лет
Лечение кариеса временного зуба
Лечение гипоплазии эмали у ребенка 4-х лет
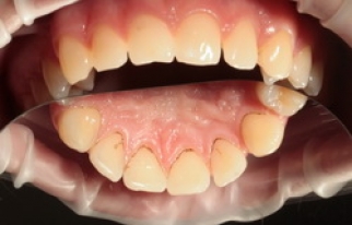
Эстетические реставрации
Эстетические реставрации
Эстетические реставрации
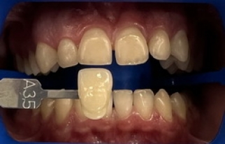
Реставрации центрального отдела
Эстетическое восстановление (замена старых композитных реставраций)
Эстетическое восстановление композитными реставрациями после снятия МК-коронок
Профессиональная гигиена полости рта
Лечение глубокого прикуса у ребенка 9 лет съемной пластинкой с накусочной площадкой
Расширение верхней челюсти и устранение перекрестного прикуса у ребенка 4 лет за 4,5 месяца
Протезирование с предварительной лазерной коррекцией десневого контура
Лечение десен, Вектор-терапия
Диагностика и лечение скрытого кариеса
Пластика уздечки верхней губы
Импалантация в боковом отделе верхней челюсти
Лечение кариеса постоянного зуба
Лечение кариеса постоянного зуба у ребенка 8-ми лет
Профессиональная гигиена полости рта у ребенка в сменном прикусе
Лечение кариеса постоянного зуба у ребенка в сменном прикусе
Лечение кариеса временных зубов, закрытие металлическими коронками
Лечение кариеса временного зуба, закрытие металлической коронкой
Реставрация сколов центральных верхних зубов
Тотальная реставрация центральных зубов
Лечение скрытого кариеса переднего зуба
Ребенок 11 лет, травма постоянного зуба
Ребенок 6 лет, множественный осложненный кариес
Ребенок 4 года, множественный рецидивирующий кариес
Лечение кариеса постоянных жевательных зубов у ребенка 10 лет
Профессиональная гигиена полости рта в сменном прикусе у ребенка 8 лет
Профессиональная гигиена полости рта у ребенка 4-х лет
Герметизация зуба у ребенка 6 лет
Герметизация фиссур у ребенка 6 лет
Лечение кариеса молочного зуба у ребенка 6 лет с использованием материала Sonic Fill
Лечение кариеса молочных зубов у ребенка 8 лет
Лечение осложненного кариеса молочного зуба у ребенка 3 лет
Лечение осложненного кариеса молочных зубов у ребенка 5 лет
Восстановление зубов вкладками
Лечение кариеса
Композитная реставрация центральных резцов верхней челюсти
Реставрация центральных зубов верхней челюсти
Лечение кариеса центральных зубов в стадии пятна
Лечение кариеса центральных зубов верхней челюсти
Эстетические реставрации центральных зубов верхней челюсти
Лечение кариеса бокового зуба
Лечение кариеса центральных верхних зубов
Лечение кариеса жевательного зуба под микроскопом
Лечение кариеса зуба под микроскопом
Лечение рецедива кариеса под микроскопом
Восстановление зуба керамической вкладкой
Восстановление зуба керамической вкладкой
Лечение кариеса под операционным микроскопом
Лечение кариеса молочного зуба
Герметизация фиссур постоянного зуба
Восстановление молочного зуба стандартной металлической коронкой
Восстановление разрушенного молочного зуба и сохранение места для постоянного зуба стандартной металлической коронкой с распоркой
Эстетические реставрации центральной группы зубов
Восстановление зубов вкладками
Восстановление зубов вкладками
Прямая эстетическая реставрация
Прямая эстетическая реставрация
Ортодонтическое лечение + эстетические реставрации
Керамические виниры установлены на 8-ми верхних зубах
Керамические виниры на 6-ти верхних центральных зубах
Керамические виниры на 6-ти верхних зубах
Керамические виниры на 6-ти верхних зубах
Отбеливание ZOOM
Реставрация передней группы зубов керамическими винирами
Реставрация передней группы зубов керамическими винирами
Керамические виниры + отбеливание
Керамические виниры + отбеливание
Керамические виниры + отбеливание
Композитные реставрации
Керамические виниры при значительном изменении цвета зубов
Керамические виниры при значительном изменении цвета зубов
Керамические виниры
Эстетическая реконструкция улыбки керамическими винирами
Эстетические реставрации керамическими винирами
Отбеливание зубов системой ZOOM
Керамические виниры
Реконструкция улыбки керамическими винирами с предварительным ортодонтическим лечением врач-ортодонт ЗабродинаО.Ю.) и отбеливанием
Эстетическая реставрация улыбки керамическими винирами
Коррекция формы и положения центральных зубов на верхней и нижней челюсти керамическими винирами
Реставрация центральных зубов керамическими винирами
Реставрации центральных зубов
Реставрации центральных зубов
Реставрации центральных зубов
Эстетическая реставрация второго резца
Прямая эстетическая реставрация центральных зубов
Восстановление зуба пломбой-вкладкой
Лечение кариеса 2-х зубов
Эстетическая реставрация центральных зубов композитным материалом
Лечение кариеса под операционным микроскопом
Эстетическая реставрация центральных резцов композитной пломбой и цельнокерамической коронкой
Керамические виниры при значительном дисколорите
Керамические виниры с предварительной коррекцией контура мягких тканей
Лечение кариеса
Лечение с микроскопом
Лечение кариеса
Лечение кариеса
Восстановление пломбой-вкладкой
Лечение клиновидного дефекта
Лечение кариеса молочного зуба
Лечение кариеса молочного зуба с восстановлением цветной пломбой
Лечение кариеса молочного зуба с восстановлением цветной пломбой
Реставрация центральной группы
Герметизация фиссур у ребенка 6 лет
Лечение кариеса постоянных зубов у ребенка 13 лет
Лечение кариеса постоянного зуба у подростка 15 лет
Лечение кариеса постоянного зуба у ребенка 15лет
Лечение кариеса временного зуба у ребенка 9 лет
Домашнее отбеливание + реставрации центральных зубов
Лечение кариеса, замена амальгамных пломб на эстетические
Реставрации
Восстановление зубов вкладками
Ортодонтическое лечение + реставрация
Лечение кариеса моляра
Реставрация боковых резцов
Восстановление зуба вкладкой
Реставрация жевательного зуба
Реставрация зуба + восстановление вкладкой
Восстановление зуба пломбой-вкладкой
Восстановление зуба пломбой-вкладкой
Восстановление жевательного зуба пломбой-вкладкой
Лечение кариесов жевательных зубов
восстановление жевательного зуба пломбой-вкладкой
восстановление жевательного зуба пломбой-вкладкой
Лечение кариеса
Лечение кариеса верхних жевательных зубов
Лечение кариеса нижних жевательных зубов
Восстановление жевательного зуба пломбой-вкладкой
Лечение кариеса боковых зубов и восстановление композитным материалом и пломбой-вкладкой
Лечение кариеса жевательного зуба под перационным микроскопом
Лечение скрытого кариеса под операционным микроскопом
Отбеливание ZOOM
Реставрация боковых зубов пломбой-вкладкой и композитным материалом
Эстетические реставрации зубов верхней и нижней челюстей композиционными материалами
Реставрация центральных зубов композитным материалом
Пародонтологическое лечение
Пародонтологическое лечение
Лечение десен, Вектор-терапия
Лечение десен лазером
Комплексное лечение пародонтита при помощи аппарата "Вектор" и лазером
Лечение пародонтита аппаратом "Вектор"
Комплексное лечение пародонтита с использованием плазмолифтинга
Комплексное лечение пародонтита с использованием плазмолифтинга
Лазерная коррекция десневого контура при лечении пародонтита
Лечение пародонтита с использованием аппарата Вектор
Безметалловая керамика в центральном отделе
Безметалловые керамические коронки + керамические виниры
Бюгельные протезы на верхней и нижней челюсти
Полное восстановление зубов верхней и нижней челюстей (керамические коронки, виниры, бюгельный протез)
Тотальные реставрации керамическими коронками и винирами
Тотальные реставрации керамическими коронками и винирами
Коронки e-max
Полные Сьемные протезы
Протез в.ч с фиксацией на локаторах
Тотальная реставрация с ортодонтической подготовкой и краниальной коррекцией
Тотальные протез верхней челюсти с винтовой фиксацией
Металлокерамические коронки на зубах и имплантах
Тотальное протезирование безметалловыми коронками и винирами
Тотальное протезирование цельнокерамическими конструкциями после ортоподготовки (врач-ортодонт Забродина О.Ю.)
Цельнокерамические коронки на имплантах при первичной адентии боковых резцов верхней челюсти после ортоподготовки (врач-ортодонт Забродина О.Ю.)
Протезирование по формуле "Все на 4" керамика на циркониевом каркасе
Тотальное протезирование цельнокерамическими конструкциями при патологической стираемости
Тотальное протезирование цельнокерамическими конструкциями припатологической стираемости после ортоподготовки (врач-ортодонт Забродина О.Ю.)
Временный съемный пластиночный протез
Врач: Яркин Д.А.
Протезирование разрушенного зуба циркониевой коронкой
Врач: Яркин Д.А.
Керамическая коронка на жевательном зубе
Врач: Яркин Д.А.
Немедленная имплантация с непосредственной нагрузкой
Врач: Яркин Д.А.
Протезирование временно-долговременными сьемными протезами
Врач: Яркин Д.А.
Протезирование керамическими коронками
Врач: Яркин Д.А.
Протезирование керамическими коронками на имплантах
Врач: Яркин Д.А.
Сьемные протезы на верхней и нижней челюстях
Врач: Яркин Д.А.
Бюгельный протез на вч и нч + металлокерамические коронки на зубах
Врач: Яркин Д.А.
Керамические коронки на естественных зубах и имплантах
Врач: Яркин Д.А.
Цельнокерамические коронки с опорой на естественные зубы и импланты
Врач: Яркин Д.А.
Протезирование бюгельными протезами и одиночными керамическими коронками на верзней и нижней челюсти
Врач: Яркин Д.А.
Протезирование условно-сьемным протезом все на 4-х на имплантах на верхней челюсти и керамическими коронками и винирами на нижней челюсти
Врач: Яркин Д.А.
Реставрации керамическими коронками на зубах и имплантах (имплантолог Габов Р.С.)
Врач: Яркин Д.А.
Эстетические реставрации центральной группы зубов керамическими коронками и винирами
Врач: Яркин Д.А.
Восстановление утраченного зуба керамической коронкой с опорой на имплантат
Врач: Яркин Д.А.
Керамические виниры и коронки на зубах верхней челюсти
Врач: Яркин Д.А.
Протезирование керамическими коронками с опорой на импланты и зубы (хирург-имплантолог Тюлейкин С.Ю.)
Врач: Яркин Д.А.
Комплексное протезирование зубов верхней и нижней челюстей керамическими и металлокерамическими конструкциями
Врач: Яркин Д.А.
Выравнивание центральных резцов у ребенка 7 лет на пластинке
Лечение неправильного перекрытия центрального зуба с использованием пластинки у ребенка 10 лет
Расширение верхней челюсти и устранение перекрестного прикуса у ребенка 4 лет за 4,5 месяца
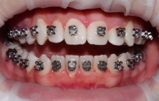
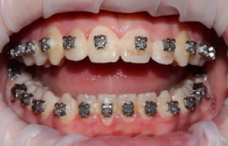
Коррекция положения зубов верхней челюсти на брекет-системе
Коррекция положения резцов верхней челюсти на частичной брекет-системе у ребенка 9 лет
Нормализация положения зубов с помощью самолигирующей брекет-системы
Выравнивание зубов на верхней челюсти с последующей заменой пломб (терапет Рябкова А.В.)
Закрытие промежутков между зубами у ребенка 8 лет на съемной пластинке и частной брекет-системе
Исправление положения зубов верхней челюсти частичной брекет- системой у ребенка 8 лет
Лечение на брекет-системе
Коррекция глубоко прикуса и неправильного положения клыков без удаления зубов
Пластика уздечки верхней губы
Врач: Чижов Е. В.
Импалантация в боковом отделе верхней челюсти (протезирование Яркин Д.А.)
Врач: Чижов Е. В.
Имплантация в боковом отделе верхней и нижней челюсти (протезирование Яркин Д.А.)
Врач: Чижов Е. В.
Профессиональная гигиена
Профессиональная гигиена
Профессиональная гигиена
Профессиональная гигиена на ортодонтическом лечении
Профессиональная гигиена полости рта
Реставрации центрального отдела
Эстетическое восстановление (замена старых композитных реставраций)
Отбеливание ZOOM на 7 оттенков
Отбеливание ZOOM осветление на 12 оттенков
Отбеливание ZOOM при повышенной чувствительности зубов
Отбеливание ZOOM ультраосветление на 12 оттенков
Отбеливание на 6 оттенков ZOOM низкая интенсивность излучения
Отбеливание ZOOM на 8 оттенков у мужчины при употреблении кофе
Восстановление разрушенных зубов композитными вкладками
Лечение кариеса жеательного зуба
Отбеливание ZOOM
Эстетическая реставрация центрального зуба
Лечение и восстановления молочного зуба стандартной металлической коронкой
Кариес молочного зуба, лечение
Лечение кариеса молочного зуба, герметизация постоянного зуба и удаление разрушенного молочного зуба
Лечение кариеса молочного зуба
Профессиональная гигиена полости рта у ребенка в сменном прикусе
Профессиональная гигиена у ребенка в сменном прикусе
Герметизация фиссур постоянного зуба
Гигиена полости рта в молочном прикусе
Гигиена полости рта в молочном прикусе
Лечение кариеса молочного зуба
Некариозное поражение эмали центральных зубов верхней челюсти
Лечение кариеса
Лечение кариеса жевательного зуба
Лечение кариеса жевательного зуба
Лечение кариеса жевательных зубов
Пародонтологическая подготовка к протезированию
Реставрация клиновидного дефекта
Восстановление разрушенного зуба композитной вкладкой
Диагоностика и лечение скрытого кариеса под микроскопом
Лечение кариеса под микроскопом
Лечение кариеса жевательных зубов
Диагностика и лечение контактного скрытого кариеса зубов
Внутреннее отбеливание зубов
Лечение кариеса зубов с применением микроскопа
Реставрации центральной группы зубов
Эстетическая реставрация +ортодонтическое лечение (доктор Поскотинова Ю.В.)
Восстановление жевательной группы зубов вкладками
Реставрация центральных зубов
Лечение кариеса зубов с применением микроскопа
Реставрация центрального зуба
Лечение кариеса зуба мудрости на верхней челюсти под микроскопом
Лечение кариеса зуба мудрости на нижней челюсти под микроскопом
Лечение кариеса передних зубов на верхней челюсти
Лечение кариеса под микроскопом
Лечение кариеса под микроскопом (скрытая кариозная полость на контактной поверхности верхнего премоляра)
Скрытый контактный карес (лечение под микроскопом)
Замена реставрации и закрытие диастемы верхних центральных зубов
Лечение кариеса жевательного зуба
Лечение кариеса зуба под микроскопом
Лечение кариеса зуба под микроскопом
Лечение кариеса зуба под микроскопом
Реставрация клиновидных дефектов зубов
Лечение кариеса жевательного зуба под микроскопом
Лечение кариеса под микроскопом
Лечение скрытого контактного кариеса под микроскопом
Диагностика и лечения скрытого кариеса под микроскопом
Лечение кариеса под микроскопом
Лечение рецидивирующего кариеса зуба, восстановление композитным материалом
Диагностика и лечение скрытого кариеса под микроскопом
Лечение зуба мудрости под микроскопом
Лечение рецедива кариеса зуба
Замена старой реставрации на переднем зубе
Лечение кариеса на контактных поверхностях верхних передних зубов
Лечение скрытых кариозных полостей на контактных поверхностях зубов
Пародонтологичекое лечение
Поддерживающее пародонтологическое лечение
Лечение кариеса жевательного зуба
Лечение кариеса зубов
Результат клинического отбеливания зубов
Врач: Топор О.В.
Эстетическая реставрация центральных верхних зубов
Врач: Топор О.В.
Эстетическая реставрация центральных нижних зубов
Врач: Топор О.В.
Эстетические реставрации центральных зуб
Врач: Топор О.В.
Эстетическая реставрация центральных верхних зубов после ортодонтического лечения
Врач: Топор О.В.
Лечение кариеса центральных зубов
Врач: Топор О.В.
Лечение кариеса центральных зубов
Врач: Топор О.В.
Эстетическая реставрация центральных зубов
Врач: Топор О.В.
Лечение кариеса жевательного зуба под микроскопом
Лечение кариеса под микроскопом
Лечение кариеса под микроскопом
Лечение кариеса под микроскопом
Лечение кариеса под микроскопом
Лечение клиновидного дефекта
Лечение рецедива кариеса под микроскопом
Лечение кариеса жевательного зуба под микроскопом
Лечение кариеса под микроскопом
Диагностика и лечения кариеса под микроскопом
Лечение кариеса под микроскопом
Коррекция прикуса у подростка на самолигирующей брекет-системе Damon Q
Коррекция прикуса, нормализация положения зубов верхней и нижней челюстей
Повторное ортодонтическое лечение на лигатурной брекет-системе
Ортодонтическое лечение на брекет-системе Damon Clear
Лечение глубокого прикуса на брекет-системе
Ортодонтическое лечение на брекет-системе
Ортодонтическое лечение на несъемной технике (брекет-система
Ортодонтическое лечение на несъемной технике (брекет-система
Ортодонтическое лечение на несъемной технике (брекет-система
Ортодонтическое лечение на несъемной технике (брекет-система
Ортодонтическое лечение на несъемной технике (брекет-система
Выравнивание зубных рядов
Коррекция глубокого прикуса
Перекрестный прикус, смещение средней линии нижней челюсти
Лечение на брекет-системе Forestaden, срок лечения 1 год 9 мес (лечение начато в 17 лет)
Ортодонтическое лечение дефецита места на брекет-системе с удалением двух зубов на верхней челюсти
Бипротрузия, лечение на полной несъемной технике
Выравнивание зубных рядов с использованием брекет-системы "Damon"
Лечение ретенции (задержки прорезования) центральных резцов верхней челюсти на брекет-системе
Лечение глубокого травмирующего прикуса с адентией боковых резцов верхней челюсти на брекет-системе
Лечение скученного положения зубов, с удалением зубов на нижней челюсти
Скученное положение зубов, лечение на брекет - системе Damon
Дистальная окклюзия, лечение на брекет-системе
Лечение перекрестного прикуса на брекет-системе
Перекрестный прикус, лечение на брекет-системе
Скученность зубов, лечение на брекет-системе
Лечение на брекет-системе дистального глубокого прикуса
Ортодонтическое лечение на брекет-системе 'Damon Clear'
Ортодонтическое лечение на брекет-системе 'Damon Clear'
Ортодонтическое лечение в раннем сменном прикусе, расширение верхней челюсти
Хирургическая коррекция десны и восстановление центральных зубов керамической коронкой и керамическим виниром
Закрытие рецессии десны
Керамические виниры
Керамические виниры
Керамические виниры
Перелом центрального зуба, восстановление керамической коронкой
Эстетическое восстановление центральных зубов керамическими коронками
Съемное протезирование на имплантах
Коррекция цвета и формы зубов при помощи отбеливания и керамических виниров
Восстановление разрушенного жевательного зуба керам коронкой
Коррекция формы и цвета центральных и боковых резцов верхней челюсти при помощи керамических коронок и виниров
Имплантация и протезирование боковой группы зубов на верхней и нижней челюсти керамическими коронками
Протезирование отсутствующего зуба керамической коронкой с опорой на имплантат
Реставрация центральных зубов верхней челюсти керамическими винирами
Изготовление и фиксация керамической коронки с опорой на имплантат
Изготовление и фиксация керамических виниров на центральные зубы верхней челюсти
Восстановление керамическими коронками передних центральных зубов
Тотальное протезирование керамическими коронками с опорой на естественные зубы
Лечение патологии прикуса и восстановление отсутствующего центрального зуба керамической коронкой с опорой на имплантат (ортодонт Поскотинова Ю.В.)
Лечение заболеваний десен
Лечение заболевания пародонта + ортодонтическое лечение (Болотова Е.В.)
Лечение заболевания пародонта + ортодонтическое лечение (Болотова Е.В.)
Комплексная реабилитация пациента с тяжелым генерализованным пародонтитом (вектор-терапия, ортодонтия, протезирование)
Лечение пародонтолога перед фиксацией брекет-системы
Лечение тяжелого пародонтита
Лечение тяжелого пародонтита
Лечение тяжелого пародонтита с применением методики вектор-терапии
Лечение тяжелого генерализованного пародонтита
Лечение тяжелого генерализованного пародонтита, шинирование зубов нижней челюсти
Лечение генерализованного пародонтита аппаратом Вектор
Профессиональная чистка зубов
Профессиональная чистка зубов
Профессиональная чистка зубов
Гигиена полости рта при скученности передних зубов нижней челюсти
Профессиональная гигиена полости рта у ребенка 12 лет
Профессиональная гигиена полости рта пациенту с налетом курильщика
Профессиональная гигиена полости рта пациенту с налетом курильщика
Профессиональная гигиена полости рта
Профессиональная гигиена полости рта пациенту с несъемным ретейнером
Профессиональная гигиена полости рта пациенту с несъемным ретейнером
Профессиональная гигиена полости рта у подростка 14 лет
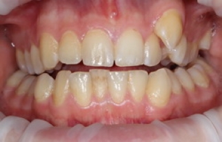
Неполноценные пломбы, кариес боковых резцов
Травматические сколы эмали центральных резцов
Замена пломбы и лечение кариеса верхнего моляра под микроскопом
Лечение кариеса
Лечение кариеса под микроскопом
Реставрация после травмы
Лечение кариеса у ребенка 4-х лет
Лечение кариеса у ребенка 10-ти лет
Лечение кариеса у ребенка 6-ти лет
Лечение кариеса у ребенка 7-ти лет
Лечение кариеса постоянных зубов у ребенка 14-ти лет
Лечение кариеса у ребенка 4-х лет (цветные пломбы)
Лечение кариеса нижнего моляра у ребенка 10-ти лет
Лечение кариеса
Прямое восстановление центрального зуба композитным материалом после травматического перелома
Восстановление жевательной поверхности композитной вкладкой
Замена пломбы и лечение кариеса нижнего моляра
Кариес жевательных поверхностей верхних моляров
Кариес контактной поверхности бокового резца
Лечение кариеса и замена пломбы в нижних молярах
Травма коронки верхнего резца
Диагностика и лечение скрытого кариеса под микроскопом
Лечение кариеса под микроскопом
Замена пломбы и лечение кариеса верхнего моляра
Замена пломбы и лечение кариеса верхнего моляра
Лечение кариеса в центральных зубах
Лечение кариеса под микроскопом
Ассимметрия и старая композитная реставрация
Гипертрофия десны, дефект режущего края
Гипоплазия. Пародонтальная шпора
Дисколорит девитального зуба
Кариес и ротация верхних резцов
Микродентия верхних боковых резцов
Тремы. Стираемость верхних центральных резцов
Закрытие диастемы нижней челюсти
Кариес верхних резцов
Травма коронки верхнего резца
Эстетические композитные реставрации
Диастема верхней челюсти
Композитная реставрация стираемости верхних резцов
Композитная реставрация трем верхней челюсти
Ортодонтическое лечение на несъемной технике (брекет-система)
Ортодонтическое лечение на несъемной технике (брекет-система)
Ортодонтическое лечение на несъемной технике (брекет-система)
Ортодонтическое лечение на несъемной технике (брекет-система)
Ортодонтическое лечение на несъемной технике (брекет-система)
Ортодонтическое лечение на несъемной технике (брекет-система)
Ортодонтическое лечение на несъемной технике (брекет-система)
Ортодонтическое лечение на несъемной технике (брекет-система)
Ортодонтическое лечение на несъемной технике (брекет-система)
Ортодонтическое лечение на несъемной технике (брекет-система)
Ортодонтическое лечение на несъемной технике (брекет-система)
Ортодонтическое лечение на несъемной технике (брекет-система)
Исправление положения зубов при помощи брекет-системы
Исправление прикуса на брекет-системе у ребенка 13 лет
Исправление прикуса на брекет-системе
Исправление прикуса при помощи брекет-системы, композитных реставраций (Устименко О.В.) и лечения пародонта(Самусева Л.В.)
Ортодонтическое лечение на брекет -системе
Исправление положения зубов на брекет-системе
Исправление прикуса на брекет-системе
Ортодонтическое лечение на брекет -системе
Ортодонтическое лечение на брекет -системе
Ортодонтическое лечение на брекет -системе
Коронка на имплантате, центральный резец
Протезирование передних резцов безметалловой керамикой
Комплексное протезирование на имплантах
Комплексное протезирование на имплантах
Изготовление и фиксация керамических коронок с опорой на имплантаты верхней челюсти
Изготовление и фиксация керамичесих коронок с опорой на имплантаты
Протезирование безметалловой керамикой на имплантах и своих зубах
Врач: Фикс В. А.
Протезирование керамическими винирами и циркон коронками на имплантах Nobel
Врач: Фикс В. А.
Протезирование керамическими винирами и циркон коронками на имплантах Nobel
Врач: Фикс В. А.
Протезирование на имлантах Nobel
Врач: Фикс В. А.
Протезирование на титановой балке Procera
Врач: Фикс В. А.
Протезирование керамическими винирами и циркон коронками на имплантах Nobel
Врач: Фикс В. А.
Циркониевая балка с опорой на 6 имплантатов Nobel
Врач: Фикс В. А.
Протезирование на титановой балке с опорой на имплантаты Nobel
Врач: Фикс В. А.
Цельнокерамические коронки Норитаке и виниры
Врач: Фикс В. А.
Протезирование керамическими коронками на имплантах и своих зубах
Врач: Фикс В. А.
Протезирование керамическими винирами
Врач: Фикс В. А.
Протезирование керамическими винирами
Врач: Фикс В. А.
Профессиональная гигиена полости рта
Профессиональная гигиена полости рта
Пародонтологическое лечение
Пародонтологическое лечение
Пародонтологическое лечение
Пародонтологическое лечение
Пластика десны при оголении корня верхних премоляров
Пластика десны при оголении корня нижнего премоляра
Пластика десны при оголении корня зуба и восстановление керамическими коронками (Фикс В.А.)
Пластика десны при оголении корня зуба
Пластика десны при оголении корня зуба
Пластика десны при оголении корня зуба
Лечение десен на аппарате Вектор
Лечение язвенно-некротического пародонтита
Пародонтологическое лечение
Лечение десен аппаратом Вектор
Профессиональная чистка зубов
Профессиональная чистка зубов
Профессиональная чистка зубов
Профессиональная гигиена полости рта у ребенка 9-ти лет
Профессиональная чистка зубов
Профессиональная чистка зубов
Профессиональная гигиена при лечении на брекет-системе
Профессиональная гигиена при лечении на брекет-системе
Профессиональная чистка зубов у подростков
Профессиональная чистка зубов у подростков
Профессиональная чистка зубов у подростков
Лечение кариеса
Лечение осложненного кариеса
Лечение кариеса жевательного зуба
Лечение кариеса бокового зуба
Лечение кариеса бокового зуба
Лечение кариеса бокового зуба
Лечение кариеса жевательного зуба
Лечение кариеса жевательного зуба
Лечение кариеса
Лечение кариеса
Лечение кариеса
Лечение кариеса
Лечение кариеса
Восстановление зуба композитной вкладкой
Восстановление скола режущего края
Лечение кариеса
Лечение кариеса
Восстановление клиновидного дефекта
Отбеливание зубов, технология ZOOM
Восстановление скола зуба
Лечение кариеса
Лечение кариеса двух зубов
Лечение кариеса
Восстановление зуба композитной вкладкой
Лечение кариеса
Лечение кариеса молочного зуба
Реставрация жевательных зубов
Лечение кариеса
Восстановление зуба вкладкой
Лечение кариеса двух центральных зубов
Лечение кариеса жевательного зуба
Лечение начального кариеса двух зубов
Лечение кариеса жевательного зуба
Лечение кариеса жевательного зуба
Лечение скрытого кариеса верхнего клыка
Коррекция цвета ранее выполненных реставраций
Лечение кариеса жевательного зуба
Восстановление зуба композитной вкладкой
Лечение кариеса под микроскопом
Восстановление зуба вкладкой
Лечение кариеса жевательного зуба под микроскопом
Реставрация зуба после травмы
Лечение кариеса под микроскопом
Лечение скрытого кариеса под микроскопом
Лечение кариеса жевательного зуба
Лечение скрытого кариеса
Восстановление зуба композитной вкладкой
Восстановление центрального зуба
Герметизация фиссур жевательного зуба у подростка
Лечение кариеса жевательного зуба под микроскопом
Лечение кариеса зуба под микроскопом
Восстановление зуба с применением композитной вкладки
Лечение скрытого кариеса под микроскопом
Реставрация постоянного зуба при лечении пульпита
Лечение скрытого кариеса постоянного зуба у ребенка
Реставрация постоянного зуба у ребенка 9 лет после лечения пульпита
Лечение кариеса передних зубов
Лечение скрытого кариеса постоянного зуба у ребенка под микроскопом
Реставрации после травмы зубов пациент 9 лет
Реставрации после травмы зубов пациент 10 лет
Реставрации после травмы зубов пациент 11 лет
Реставрации после травмы зубов пациент 12 лет
Реставрации после травмы зубов пациент 13 лет
Герметизация фиссур молочного зуба
Лечение кариеса молочных зубов
Лечение кариеса молочных зубов
Герметизация фиссур постоянного зуба
Профессиональная гигиена
Профессиональная гигиена, ребенок 7 лет
Профессиональная гигиена
Профессиональная гигиена в молочном прикусе
Профессиональная гигиена в сменном прикусе
Герметизация фиссур 7 лет
Профессиональная гигиена
Лечение кариеса 8 лет
Лечение генерализованного пародонтита аппаратом Вектор
Профессиональная гигиена полости рта
Профессиональная гигиена полости рта у пародонтолога
Профессиональная гигиена полости рта
Профессиональная гигиена, Вектор
Бюгельное протезирование
Протезирование с применением безметалловой керамики
Съемное протезирование
Съемное протезирование
Протезирование безметалловыми коронками с опорой на зубы и импланты
Съемный протез на имплантах с локаторами
Частичный съемный протез на телескопических коронках
Протезирование металлокерамическими коронками на зубах и имплантатах
Протезирование металлокерамическими коронками на зубах
Керамическая коронка на импланте
Протезирование на имплантах и замена ортопедических конструкций
Протезирование безметалловой керамикой
Протезирование на импланте
Протезирование на имплантах
Протезирование металлокерамическими коронками с проведением пластики десны
Одиночные металлокерамические коронки в переднем отделе верхней челюсти
Протезирование цельнокерамическими коронками с предварительной ортодонтической подготовкой
Тотальное протезирование керамическими коронками и винирами на зубах и имплантатах
Полный съемный пластиночный протез на нижней челюсти
Полное протезирование на имплантатах (хирург-имплантолог Габов Р.С.)
Протезирование керамическими коронками после проведения ортодонтического лечения (Болотова Е.В.) и отбеливания зубов (Агейкина А.Е.)
Протезирование металлокерамическими коронками на зубах и имплантатах
Протезирование на имплантах
Протезирование на имплантах
Протезирование центральных резцов
Протезирование частичным пластиночным протезом на верхней челюсти
Полные съемные протезы
Протезирование на имплантатах
Протезирование металлокерамической коронкой с опорой на имплантат
Временные и постоянные коронки с опорой на имплантаты
Протезирование керамической коронкой с опорой на имплантат
Тотальное протезирование верхней и нижней челюсти на имплантатах и естественных зубах металлокерамическими коронками
Протезирование керамическими коронками с опорой на имплантаты и естественные зубы
Рецессия центрального нижнего зуба, закрытие трансплантатом
Врач: Габов Р. С.
Рецессия центрального нижнего зуба, закрытие трансплантатом
Врач: Габов Р. С.
Закрытие рецессии десны
Врач: Габов Р. С.
Металлокерамические коронки на имплантах, керамические виниры
Врач: Габов Р. С.
Профессиональная гигиена + Вектор
Профессиональная гигиена
Профессиональная гигиена и лечение на аппарате Вектор
Профессиональная гигиена и лечение на аппарате Вектор
Профессиональная гигиена полости рта
Профессиональная гигиена полости рта
Лечение хронического генерализованного пародонтита. Профессиональная гигиена полости рта и обработка аппаратом Вектор
Профессиональная гигиена и лечение на аппарате Вектор
Профессиональная гигиена полости рта
Профессиональная гигиена полости рта и обработка аппаратом Вектор
Профессиональная гигиена полости рта
Профессиональная гигиена полости рта
Профессиональная гигиена полости рта
Профессиональная гигиена полости рта
Профессиональная гигиена полости рта
Профессиональная гигиена полости рта
Профессиональная гигиена у пациента 18 лет
Профгигиена в период ортодонтического лечения
Профгигиена в области ретейнера на нижней челюсти
Профессиональная гигиена полости рта
Лечение кариеса под микроскопом
Лечение кариеса под микроскопом
Лечение кариеса под микроскопом
Лечение кариеса жевательного зуба под микроскопом
Лечение кариеса центрального зуба под микроскопом
Изготовление и фиксация керамической вкладки E.max
Лечение кариеса жевательного зуба под микроскопом
Замена пломбы на вкладку E-max
Лечение кариеса жевательного зуба под микроскопом
Лечение рецедива кариеса жевательного зуба
Отбеливание ZOOM
Восстановление разрушенного зуба вкаладкой E.MAX
Лечене кариеса жевательного зуба под микроскопом
Лечение контактного кариеса зубов
Лечение кариеса зуба
Лечение кариеса под микроскопом
Лечение глубокого кариеса под микроскопом
Лечение кариеса под микроскопом
Восстановление разрушенного зуба керамической вкладкой
Диагностика и лечение контактного кариеса зубов
Лечение кариеса под микроскопом
Лечение кариеса под микроскопом
Лечение кариеса под микроскопом
Лечение контактного кариеса зуба под микроскопом
Лечение кариеса жевательного зуба под микроскопом
Лечение кариеса под микроскопом
Лечение пришеечного кариеса под микроскопом
Ортодонтия + отбеливание + реставрация
Эстетическая реставрация центральных зубов
Лечение кариеса боковых резцов верхней челюсти
Домашнее отбеливание
Эстетическая реставрация центральных зубов
Внутреннее отбеливание переднего верхнего зуба
Лечение кариеса под микроскопом
Эстетичесая реставрация центральных зубов, закрытие промежутка
Эстетическая реставрация центрального зуба
Лечение кариеса, восстановление зуба вкладкой
Лечение кариеса жевательного зуба
Лечение кариеса жевательного зуба под микроскопом
Внутреннее отбеливание центральных зубов и эстетическая реставрация
Лечение кариеса под микроскопом
Лечение контактного кариеса под микроскопом
Лечение контактного кариеса под микроскопом
Лечение кариеса жевательного зуба под микроскопом
Лечение вторичного кариеса жевательного зуба
Лечение контактного кариеса центрального зуба
Лечение кариеса под микроскопом
Лечение кариеса центрального зуба
Лечение кариеса на боковой поверхности зуба под микроскопом
Лечение кариеса в стадии пятна
Лечение контактного кариеса под микроскопом
Реставрация перелома коронки зуба
Эстетическая реставрация передних зубов верхней челюсти композитным материалом
Домашнее отбеливание зубов и замена реставраций на центральных верхних резцах
Лечение кариеса двух зубов под микроскопом
Лечение пришеечного кариеса
Лечение кариеса жевательного зуба
Восстановление после перелома центрального коронки зуба
Лечение контактного кариеса нижних центральных зубов
Лечение пришеечного кариеса
Домашние отбеливание и реставрация зубов
Лечение кариеса зуба
Лечение кариеса верхних зубов
Лечение кариеса нижних зубов
Лечение кариеса нижнего зуба
Лечение кариеса жевательного зуба
Лечение кариеса центральных зубов
Лечение кариеса центральных верхних зубов
Реставрация центральных зубов после травмы
Лечение кариеса нижнего центрального зуба
Реставрация режущего края центральнных верхних зубов
Эстетическая реставрация центральных верхних зубов
Лечение контактного кариеса под микроскопом
Лечение кариеса зуба под микроскопом
Реставрация центрального зуба после травмы
Восстановления зуба
Реставрация перелома центрального зуба
Лечение кариеса центрального зуба
Восстановление разрушенных центральных зубов верхней челюсти
Восстановление зуба композитной вкладкой
Реставрация зубов при тяжелом генерализованном пародонтите
Эстетическая реставрация зубов
Восстановление зуба после травмы
Восстановление скола центрального зуба
Лечение кариеса зуба
Лечение кариеса бокового зуба
Отбеливание ZOOM 4
Лечение кариеса центральных зубов под микроскопом
Лечение глубокого кариеса под микроскопом, реставрация
Лечение кариеса под микроскопом
Отбеливание ZOOM
Эстетическая реставрация
Пародонтологическая подготовка к брекет-лечению
Комплексное лечение тяжелого пародонтита
Коронка на имплантате, центральный резец
Протезирование передних резцов безметалловой керамикой
Комплексное протезирование на имплантах
Комплексное протезирование на имплантах
Изготовление и фиксация керамических коронок с опорой на имплантаты верхней челюсти
Изготовление и фиксация керамичесих коронок с опорой на имплантаты
Восстановление коронкой e.max зуба после травмы
Восстановление отсутствующих зубов полным съемным пластиночным протезом
Тотальное протезирование керамическими коронками с опрой на имплантаты (хирург-имплантолог Каледин Д.С.) и естественные зубы
Тотальное протезирование керамическими коронками с опорой на имплантаты и естественные зубы
Протезирование керамической коронкой с опорой на имплантат
Герметизация фиссур у ребенка
Профессиональная гигиена
Профессиональная гигиена
Профессиональная гигиена у ребенка со сменным прикусом
Профессиональная гигиена полости рта
Профессиональная гигиена полости рта
Профессиональная гигиена полости рта
Профессиональная гигиена, индикация налета
Профессиональная гигиена у ребенка 5 лет
Профессиоланльная гигиена полостр рта с окрашиванием налета
Профессиональная гигиена полости рта
Профессиональная гигиена полости рта у подростка
Профессиональная гигиена полости рта
Профессиональная гигиена полости рта
Домашнее отбеливание
Восстановление разрушенного жевательного зуба керамической вкладкой
Лечение кариеса жевательного зуба под микроскопом
Лечение кариеса на контактной поверхности зуба под микроскопом
Лечение кариеса под микроскопом
Лечение кариеса под микроскопом
Лечение пришеечного кариеса под микроскопом
Рецедив кариеса, лечение под микроскопом
Лечение кариеса жевательного зуба
Лечение скрытого кариеса зубов
Восстановление зуба керамической коронкой
Лечение гипоплазии эмали зуба
Лечение кариеса зуба
Реконструкция улыбки керамическими винирами с предварительным ортодонтическим лечением (ортодонт Забродина О.Ю.)
Лечение кариеса
Лечение кариеса
Лечение кариеса
Лечение кариеса
Лечение кариеса
Восстановление постоянного зуба после травмы
Лечение кариеса и восстановление разрушенных зубов стандартными коронками у ребенка 5 лет
Лечение кариеса у ребенка без препарирования по системе Icon
Лечение осложненного кариеса зуба и восстановление коронкой
Лечение осложненного кариеса у ребенка 5 лет и восстановление зубов коронками
Восстановление скола
Лечение кариеса
Лечение контактного кариеса
Подготовка зуба под коронку
Лечение кариеса зуба
Проф. гигиена, налет Пристли
Восстановление разрушенного зуба керамической вкладкой
Лечение рецедива кариеса под микроскопом
Лечение глубокого прикуса на брекет-системе
Лечение кариеса передних зубов в взрослого пациента
Лечение глубокого кариеса у подростка
Лечение кариеса скрытого кариеса зуба у подростка
Лечение кариеса жевательного зуба под микроскопом
Лечение контактного кариеса молочных зубов у ребенка 8 лет
Комплексное лечение пародонтита при помощи аппарата Vector+ плазмолифтинг
Пародонтологическое лечение (профессиональная гигиена, Вектор-терпия)
Профессиональная гигиена полости рта перед фиксацией брекет-системы
Профессиональная гигиена полости рта у подростка 15 лет
Лечение глубокого прикуса и выраженного дефицита места
Лечение дистального прикуса и ретенции клыка на брекет-системе 'Damon Clear'
Лечение раннего открытого прикуса на съемном аппарате
Эстетическая реставрация центральных резцов композиционным материалом
Лечение кариеса
Лечение кариеса под микроскопом
Лечение контактного кариеса зубов
Лечение кариеса под микроскопом
Лечение кариеса под микроскопом
Изготовление съемного протеза на нижнюю челюсть
Врач: Бадан К.В.
Лечение кариеса
Лечение кариеса двух зубов
Профессиональная гигиена
Профессиональная гигиена
Профессиональная гигиена
Профессиональная гигиена
Профессиональная гигиена
Профессиональная гигиена
Комплексное протезирование зубов керамическими коронками и винирами
Лечение глубокого прикуса с помощью системы Damon Q2
Лечение перекрестного прикуса с помощью брекет-системы Damon Q2
Нормализация положения передних зубов верхней челюсти с помощью сегментраной брекет-системы Gemini
Ортодонтическая подготовка к протезированию на брекет-системе Damon Q2
Реставрация жевательного зуба композитной пломбой-вкладкой
Эстетическая реставрация центральных резцов
Восстановление центрального зуба после травмы
Восстановление зубов после травмы
Лечение кариеса
Эстетическая реставрация зубов керамическими коронками и винирами
Профессиональная гигиена у пациента 18 лет
Профессиональная гигиена и пародонтологическое лечение
Комплексное лечение пародонтита с использованием аппарата Вектор и Лазера
Комплексное лечение заболеваний пародонта
Эстетическая реставрация центральных зубов верхней челюсти керамическими коронками и винирами
Лечение скрытого кариеса постоянного зуба у подростка
Лечение глубокого кариеса постоянного зуба
Лечение осложненного кариеса постоянного зуба
Восстановление травмированного зуба цельнокерамической коронкой
Врач: Бадан К.В.
Цельнокерамические коронки на жевательные зубы
Врач: Бадан К.В.
Цельнокерамические коронки на имплантаты
Врач: Бадан К.В.
Восстановление сломанного зуба цельнокерамической коронкой
Врач: Бадан К.В.
Лечение кариеса временного зуба у ребенка 6 лет
Лечение кариеса временного зуба, восстановление стандартной коронкой
Лечение кариеса временного зуба, восстановление стандартной коронкой
Лечение кариеса временного зуба
Лечение кариеса постоянного зуба
Лечение перекрестного прикуса с помощью брекет-системы Damon Q2
Лечение скученного положения зубов, устаранение обратного перекрытия с помощью брекет-системы Damon Q2
Ортодонтическое лечение на безлигатурной брекет-системе
Реставрация центральных верхних резцов керамическими винирами и коронками
Отбеливание ZOOM 4
Отбеливание зуба, эстетическая реставрация
Лечение кариеса жевательного зуба под микроскопом
Лечение кариеса под микроскопом
Профессиональная гигиена полости рта с окрашиванием налета у подростка
Профессиональная гигиена у ребенка 11 лет, удаление временных зубов
Отбеливание ZOOM 4
Виниры
Перелом коронок постоянных зубов у ребенка, реставрация
Лечение кариеса под микроскопом
Восстановление молочных зубов стандартными коронками
Восстановление разрушенных временных зубов стандартными коронками
Лечение кариеса, удаление молочных зубов, восстановление стандартными коронками разрушенных зубов у ребенка 4 лет
Восстановление жевательных зубов керамическими коронками
Коррекция цвета и формы керамическими коронками
протезирование керамическими коронками и винирами
Лечение кариеса. восстановление скола зуба
Лечение кариеса
Закрытие тремы между центральными зубами
Отбеливание ZOOM
Отбеливание ZOOM
Отбеливание ZOOM
Отбеливание ZOOM
Восстановление центрального зуба у ребенка после травмы
Профессиональная гигиена (налет курильщика)
Лечение кариеса под микроскопом
Ортодонтическое лечение на несъемной технике (брекет-система)
Ортодонтическое лечение на несъемной технике (брекет-система)
Ортодонтическое лечение на несъемной технике (брекет-система)
Ортодонтическое лечение на несъемной технике (брекет-система)
Ортодонтическое лечение на несъемной технике (брекет-система)
Пластика десны при оголении корней зубов
Пластика десны при оголении корней зубов
Пластика десны при оголении корней зубов на верхней челюсти
Пластика десны при оголении корня зуба на верхней и нижней челюсти
Пластика десны при оголении корней зубов верхней и нижней челюсти
Пластика десны при оголении корня резца на нижней челюсти
Лечение хронического пародонтита. Плазмолифтинг
Лечение хронического пародонтита аппаратом Вектор
Гигиена полости рта (налет курильщика)
Гигиена полости рта с предварительным окрашиванием зубного налета
Гигиена полости рта у подростка 14 лет
Лечение кариеса молочного зуба у ребенка 7 лет
Лечение кариеса молочных зубов у ребенка 4 года
Реставрация переднего зуба после травмы у ребенка 13 лет
Реставрация центральных зубов композиционными материалами
Восстановление отсутствующего зуба керамической коронкой с опорой на имплантат
Имплантация и протезирование в области жевательного зуба
Тотальное протезирование керамическими коронками и винирами
Восстановление скола центрального зуба
Лечение кариеса жевательного зуба под микроскопом
Лечение кариеса под микроскопом
Лечение кариеса жевательного зуба под микроскопом
Лечение кариеса под микроскопом
Лечение контактного кариеса под микроскопом
Лечение осложненного кариеса под микроскопом
Рецедив кариеса, лечение под микроскопом
Гигиена полости рта у ребенка 5 лет
Лечение кариеса центральных зубов у ребенка 13 лет
Гигиена полости рта в молочном прикусе
Лечение кариеса постоянного зуба у ребенка 9 лет
Тотальное протезирование керамическими винирами с предварительной ортоподготовкой и стабилизацией ВНЧС (ортодонт Забродина О.Ю.)
Врач: Яркин Д.А.
Тотальное протезирование керамическими конструкциями на своих зубах и имплантах при патологической стираемости зубов
Врач: Яркин Д.А.
Тотальное протезирование керамическими реставрациями с предварительной ортодонтической подготовкой и лечением ВНЧС (ортодонт Васильев А.В.)
Врач: Яркин Д.А.
Тотальное протезирование керамическими реставрациями с предварительной подготовкой ВНЧС
Врач: Яркин Д.А.
Керамические виниры
Врач: Бадан К.В.
Керамические виниры
Врач: Бадан К.В.
Керамические виниры
Врач: Бадан К.В.
Тотальное протезирование
Восстановление постоянного зуба у ребенка 10 лет стандартной металлической коронкой
Восстановление разрушенного временного зуба стандартной коронкой
Гигиена полости рта в сменном прикусе
Лечение кариеса временного зуба
Лечение кариеса постоянных зубов
Перелом коронки зуба, восстановление собственным фрагментом
Гигиена полости рта у ребенка с брекет-системой
Профессиональная гигиена полости рта
Профессиональная гигиена полости рта у пациента с брекет-системой
Профессиональная гигиена полости рта у пациентки с брекет-системой
Лечение на брекет-системе Damon Q подростка 15 лет
Лечение подростка 15 лет на брекет-системе
Эстетическая реставрация композитным материалом
Лечение кариеса под микроскопом Скрытые кариозные полости
Лечение контактного кариеса под микроскопом
Рецидив кариеса, лечение под микроскопом
Лечение начального кариеса под микроскопом
Ортодонтическое лечение на брекет-системе 'Damon Clear'
Протезирование керамическими винирами и коронками на имплантах и своих зубах
Врач: Фикс В. А.
Протезирование керамическими винирами и коронками на имплантах
Врач: Фикс В. А.
Профессиональная гигиена полости рта у пациента с брекет-системой
Профессиональная гигиена полости рта
Пластика десны при оголении корней зубов верхней и нижней челюсти
Пластика десны при оголении корней зубов верхней челюсти
Пластика десны при оголении корней резцов нижней челюсти
Восстановление разрушенного временного зуба стандартной коронкой
Эстетическая реставрация центрального зуба композитным материалом
Лечение генерализованного пародонтита, подготовка к ортодонтии
Пародонтологическое лечение перед фиксацией брекет-системы
Профессиональная гигиена полости рта
Профессиональная гигиена полости рта
Профессиональная гигиена полости рта
Профессиональная гигиена полости рта
Профессиональная гигиена полости рта
Профессиональная гигиена полости рта
Профессиональная гигиена полости рта
Профессиональная гигиена полости рта
Профессиональная гигиена полости рта перед ортодонтичским лечением
Профессиональная гигиена полости рта
Профессиональная гигиена полости рта
Профессиональная гигиена полости рта
Профессиональная гигиена полости рта
Профессиональная гигиена полости рта
Профессиональная гигиена полости рта на этапе ортодонтического лечения
Профессиональная гигиена полости рта, вектор-терапия
Профессиональная гигиена полости рта, вектор-терапия
Профессиональная гигиена полости рта, вектор-терапия
Лечение десен аппаратом Вектор
Лечение пародонтита аппаратом Вектор
Профгигиена полости рта
Профессиональная гигиена полости рта
Профессиональная гигиена полости рта
Профессиональная гигиена полости рта
Профессиональная гигиена полости рта
Керамический винир и керамические коронки в зоне улыбки
Врач: Бадан К.В.
Ортодонтическое лечение в сочетании с реставрациями вторых резцов
Восстановление разрушенного жевательного зуба
Лечение кариеса жевательного зуба
Гигиена полости рта у подростка на этапе брекет-лечения
Восстановление центральных зубов керамическими коронками после ортодонтической подготовки (ортодонт Поскотинова Ю.В.)
Пародонтологическое лечение
Профгигиена
Тотальное протезирование керамическими коронками с опорой на имплантаты и естественные зубы
Лечение кариеса под микроскопом
Реставрация зуба при травме
Коррекция обратного перекрытия центральных зубов с помощью частичной брекет-системы у ребенка 9 лет
Коррекция прикуса , положения зубов с помощью лигатурной брекет-системы
Расширение верхней челюсти и устранение резцового перекрытия с помощью съемного аппарата
Лечение глубокого дистального прикуса на безлигатурной брекет-системе
Лечение перекрестного прикуса на безлигатурной брекет-системе
Замена старых коронок центральных зубов, эстетическое восстановление керамическими коронками
Лечение контактного кариеса под микроскопом
Профессиональная гигиена
Протезирование на имплантах в боковом отделе нижней челюсти (врач-ортопед Яркин Д.А.)
Врач: Чижов Е. В.
Протезирование на имплантах жевательных зубов в боковом отделе верхней челюсти (врач-ортопед Яркин Д.А)
Врач: Чижов Е. В.
Протезирование на имплантах на верхней челюсти (врач-ортопед Яркин Д.А.)
Врач: Чижов Е. В.
Лечение гипертрофического гингивита, вектор-терапия
Замена старой реставрации центрального верхнего зуба
Реставрация центральных зубов верхней и нижней челюсти
Эстетическая реставрация центрального верхнего зуба
Лечение кариеса под микроскопом
Восстановление коронками центральных зубов верхней челюсти
Лечение глубокого кариеса под микроскопом
Лечение кариеса под микроскопом
Лечение кариеса жевательного зуба под микроскопом
Лечение кариеса под микроскопом
Лечение кариеса под микроскопом
Лечение кариеса под микроскопом
Пародотологическая подготовка к ортодонтическому лечению
Гипоплазия эмали зуба, осложненная кариесом
Зубной камень у ребенка
Кариес жевательного зуба
Гигиена полости рта, удаление налета курильщика
Профессиональная гигиена полости рта перед ортодонтическим лечением
Профессиональная гигиена полости рта
Профессиональная игиена у ребенка
Лечение глубокого кариеса зубов под микроскопом
Лечение контактного кариеса под микроскопом
Реставрация разрушенного зуба
Эстетическое протезирование зубов верхней челюсти керамическими винирами и коронками
Восстановление центральных зубов после травмы у ребенка 9 лет
Эстетическая реставрация центральных зубов верхней челюсти после ортодонтического лечения на элайнерах (врач-ортодонт Забродина О.Ю.)
Протезирование на имплантатах
Врач: Бадан К.В.
Виниры и коронки на зубах верхней челюсти
Врач: Бадан К.В.
Отбеливание зубов ZOOM4
Профессиональная гигиена полости рта
Лечение кариеса жевательного зуба под микроскопом
Лечение кариеса под микроскопом
Профессиональная гигиена полости рта перед ортодонтическим лечением
Домашнее отбеливание зубов
Реставрации передней группы зубов
Коррекция скученного положения зубов и исправление глубины перекрытия в переднем отделе
Коррекция скученности на ВЧ (с удалением двух зубов) и на НЧ с помощью брекет-системы
Керамические виниры на зубах верхней и нижней челюсти
Тотальное протезирование на своих зубах и имплантатах
Профгигиена
Профгигиена
Профгигиена взрослого пациента
Восстановление центральных резцов керамическими винирами
Коррекция положения зубов на ВЧ и НЧ с помощью самолигирующей брекет-системы
Протезирование на имплантах
Лечение кариеса постоянного зуба у ребенка
Клиническое отбеливание зубов ZOOM4
Гигиена полости рта в сменном прикусе
Восстановление центральных зубов вч керамическими конструкциями
Врач: Яркин Д.А.
Ортодонтическое лечение на бреккет системе вч и нч, 13 лет
Ортодонтическое лечение на бреккет-системе вч и нч с последующей временной реставрацией отсутствующего зуба, 14 лет
Ортодонтическое лечение на бреккет-системе вч и нч, подросток 17 лет
Ортодонтичское лечение на частичной бреккет-системе, ребенок 8 лет
Восстановление керамической вкладкой
Лечение кариеса под микроскопом
Замена старой пломбы
Лечение вторичного кариеса под пломбой
Лечение кариеса под микроскопом
Лечение кариеса под микроскопом
Протезирование цирконевой конструкцией на 4-х имплантатах в области верхней и нижней челюсти
Тотальное протезирование керамическими винирами и коронками
Тотальное протезирование керамическими коронками с опорой на имплантаты и керамическими винирами
Тотальное протезирование с опорой на имплантаты
Протезирование керамическими винирами
Протезирование резца керамической коронкой
Тотальное протезирование зубов
Кариес временного зуба у ребёнка 3х лет
Лечение кариеса временного зуба
Реставрация зубов в зоне улыбки
Профессиональная гигиена полости рта
Лечение пародонтита
Профессиональная гигиена полости рта
Эстетическая реставрация керамическими конструкциями центральных зубов
Комплексное лечение тяжелого пародонтита с применением ФДТ, Вектор-терапии, шинирование
Лечение подростка 14 лет на лигатурной бреккет-системе
Лечение на безлигатурной бреккет-системе подростка 17лет
Коррекция скученного положения передних зубов с помощью брекет-системы
Лечение кариеса зуба мудрости под микроскопом
Эстетическое протезирование центральных зубов верхней челюсти
Лечение кариеса центрального зуба под микроскопом
Профессиональная гигиена полости рта
Профессиональная гигиена полости рта у подростка с брекет-системой
Профессиональная игиена полости рта у подростка перед ортодонтическим лечением
Коррекция дистального прикуса 13 лет
Лечение открытого мезиального прикуса с ортохирургической коррекцией
Домашнее отбеливание зоны улыбки и керамические виниры на 4 зуба
Ортодонтическое лечение на брекет-системе Damon Q
Коррекция цвета, формы и положения зубов верхней челюсти, керамические виниры + отбеливание ZOOM
Ортодонтическая подготовка перед протезированием
Ортодонтическое лечение на брекет-системе Damon Clear
Керамические виниры с предварительной ортодонтической подготовкой (Поскотинова Ю.В.)
Ортодонтическое лечение с сепарацией (пришлифовыванием) зубов
Ортодонтическое лечение на брекет-системе Damon Clear
Керамические виниры
Лечение пациента 15 лет с асимметрией лица и перекрестным прикусом (брекет-система и аппарат для расширения верхней челюсти)
Ортодонтическое лечение на брекет-системе Damon Clear
Керамические виниры
Лечение на лингвальной брекет-системе
Ортодонтическая коррекция положения верхних центральных зубов на съёмном аппарате (пластинка) у ребенка 6-ти лет
Керамические виниры
Лечение взрослого пациента
Исправление положения зубов при помощи брекет-системы и керамических реставраций (Фомин А.В.)
Керамические виниры
Лечение на элайнерах
Лечение на лингвальной брекет-системе при ретенции клыков
Керамические виниры
Ортодонтическое лечение мезиального прикуса на брекет-системе
Лечение на брекет-системе без удаления зубов
Керамические виниры
Ортодонтическое лечение при небном положении второго резца на верхней челюсти слева
Ортодонтическое лечение на брекет-системе "Damon"
Коррекция цвета и формы зубов верхней и нижней челюстей, керамические виниры
Лечение на брекет-системе
Ортодонтическое лечение на брекет-системе "Damon"
Коррекция цвета и формы зубов верхней и нижней челюстей, керамические виниры
Лечение аномалии положения зубов
Ортодонтическое лечение на брекет-системе "Damon"
Коррекция цвета и формы зубов верхней и нижней челюстей, керамические виниры
Лечение на брекет-системе + имплантация (Каледин Д.С.) + протезирование (Пешехонов Э.В.)
Эстетические композитные реставрации, отбеливание
Ортодонтическое лечение на брекет-системе "Damon"
Аномалия прикуса с дефицитом места для клыков (динамическое наблюдение, ортодонтичесчкое лечение)
Эстетические композитные реставрации, отбеливание
Ортодонтическое лечение на брекет-системе "Incognito"
Ортодонтическое лечение с удалением зубов на несъёмной технике
Керамические виниры на зубах верхней челюсти и отбеливание
Ортодонтическое лечение на брекет-системе "Incognito"
Диспропорция зубов. Лечение с сепарацией
Комплексная стоматологическая реабилитация
Лечение на брекет-системе без удаления зубов
Закрытие промежутков. Подготовка к винирам
Лечение на брекет-системе без удаления зубов
Ортодонтическое лечение (Поскотинова Ю.В.) + отбеливание + керамические виниры
Лечение асимметрии у подростка
Ортодонтическое лечение на несъемной технике (брекет-система)
Коррекция цвета и формы зубов верхней челюсти, керамические виниры
Лечение на элайнерах, небное положение клыка на ВЧ слева
Коррекция цвета и формы зубов верхней челюсти, керамические виниры
Ортодонтическое лечение на элайнерах FlexiLigner
Лечение с удалением 4-х зубов
Коррекция цвета и формы зубов верхней челюсти, керамические виниры
Ортодонтическое лечение на элайнерах FlexiLigner
Патология дистального прикуса у подростка
Эстетические композитные реставрации, отбеливание
Ортодонтическое лечение на элайнерах
Подготовка к протезированию
Ортодонтическое лечение на лингвальной брекет-системе
Керамические виниры на зубах верхней и нижней челюстях
Ортодонтическое лечение на элайнерах Invisalign
Коррекция цвета и формы с применением керамических виниров
Ортодонтическое лечение на элайнерах Invisalign
Коррекция цвета и формы с применением керамических виниров
Ортодонтическое лечение, коррекция прикуса на брекет-системе
Коррекция цвета и формы с применением керамических виниров
Ортодонтическое лечение на лингвальной брекет-системе WIN
Керамические виниры на зубах нижней челюсти при патлогической стираемости
Керамические виниры на зубах верхней челюсти
Лечение первичной адентии боковых резцов верхней челюсти
Керамические виниры
Ортодонтическое лечение на брекет-системе "Damon Q"
Керамические виниры на зубах верхней и нижней челюстях
Керамические виниры на зубах верхней и нижней челюстях
Керамические виниры на зубах верхней и нижней челюстях
Керамические виниры на зубах верхней и нижней челюстях
Керамические виниры на зубах верхней челюсти
Керамические виниры на зубах нижней челюсти
Восстановление формы зубов с применением композитной реставрации
Восстановление формы зубов с применением композитной реставрации
Керамические виниры без обработки
Керамические виниры
Керамические виниры
Керамические виниры
Керамические виниры на зубах верхней челюсти
Керамические виниры на зубах верхней и нижней челюстей
Домашнее отбеливание
Домашнее отбеливание зубов нижней челюсти, керамические виниры на зубах верхней челюсти
Восстановление зуба композитным материалом
Домашнее отбеливание и реставрации 4 зубов верхней челюсти
Отбеливание и композитная реставрация (Курбатов В.Н. керамическая коронка)
Керамические виниры на зубах верхней и нижней челюстей
Прямые композитные реставрации
Керамические виниры на 8 зубах верхней челюсти
Коррекция цвета и формы зубов c применением керамических виниров
Коррекция цвета и формы зубов c применением керамических виниров
Коррекция цвета и формы зубов верхней и нижней челюстей с примененим керамических виниров
Корреция цвете и формы зубов на верхней челюсти с применением керамических виниров
Виниры на нижней и верхней челюстях
Коррекция цвета и формы зубов верхней и нижней челюстей с применением керамических виниров
Коррекция размеров и формы зубов с применением керамических виниров
Коррекция размеров и формы зубов с применением керамических виниров
Керамические виниры с предварительной пластикой десны
Керамические виниры на зубах верхней и нижней челюсти
Керамические виниры на резцах верхней и нижней челюстей
Керамические виниры на зубах верхней челюсти
Керамические виниры на зубах верхней и нижней челюсти
Керамические виниры на резцах и клыках верхней челюсти
Керамические виниры на зубах верхней челюсти
Керамические виниры на зубах верхней челюсти
Прямые композитные реставрации
Лечение кариеса
Домашнее отбеливание
Керамические виниры на зубах верхней и нижней челюсти
Домашнее отбеливание зоны улыбки и керамические виниры на 4 зуба
Коррекция цвета, формы и положения зубов верхней челюсти, керамические виниры + отбеливание ZOOM
Керамические виниры с предварительной ортодонтической подготовкой (Поскотинова Ю.В.)
Керамические виниры
Керамические виниры
Керамические виниры
Керамические виниры
Керамические виниры
Керамические виниры
Коррекция цвета и формы зубов верхней и нижней челюстей, керамические виниры
Коррекция цвета и формы зубов верхней и нижней челюстей, керамические виниры
Коррекция цвета и формы зубов верхней и нижней челюстей, керамические виниры
Эстетические композитные реставрации, отбеливание
Эстетические композитные реставрации, отбеливание
Керамические виниры на зубах верхней челюсти и отбеливание
Комплексная стоматологическая реабилитация
Ортодонтическое лечение (Поскотинова Ю.В.) + отбеливание + керамические виниры
Коррекция цвета и формы зубов верхней челюсти, керамические виниры
Коррекция цвета и формы зубов верхней челюсти, керамические виниры
Коррекция цвета и формы зубов верхней челюсти, керамические виниры
Эстетические композитные реставрации, отбеливание
Керамические виниры на зубах верхней и нижней челюстях
Коррекция цвета и формы с применением керамических виниров
Коррекция цвета и формы с применением керамических виниров
Коррекция цвета и формы с применением керамических виниров
Керамические виниры на зубах нижней челюсти при патлогической стираемости
Керамические виниры на зубах верхней челюсти
Керамические виниры
Керамические виниры на зубах верхней и нижней челюстях
Керамические виниры на зубах верхней и нижней челюстях
Керамические виниры на зубах верхней и нижней челюстях
Керамические виниры на зубах верхней и нижней челюстях
Керамические виниры на зубах верхней челюсти
Керамические виниры на зубах нижней челюсти
Восстановление формы зубов с применением композитной реставрации
Восстановление формы зубов с применением композитной реставрации
Керамические виниры без обработки
Керамические виниры
Керамические виниры
Керамические виниры
Керамические виниры на зубах верхней челюсти
Керамические виниры на зубах верхней и нижней челюстей
Домашнее отбеливание
Домашнее отбеливание зубов нижней челюсти, керамические виниры на зубах верхней челюсти
Восстановление зуба композитным материалом
Домашнее отбеливание и реставрации 4 зубов верхней челюсти
Отбеливание и композитная реставрация (Курбатов В.Н. керамическая коронка)
Керамические виниры на зубах верхней и нижней челюстей
Прямые композитные реставрации
Керамические виниры на 8 зубах верхней челюсти
Коррекция цвета и формы зубов c применением керамических виниров
Коррекция цвета и формы зубов c применением керамических виниров
Коррекция цвета и формы зубов верхней и нижней челюстей с примененим керамических виниров
Корреция цвете и формы зубов на верхней челюсти с применением керамических виниров
Виниры на нижней и верхней челюстях
Коррекция цвета и формы зубов верхней и нижней челюстей с применением керамических виниров
Коррекция размеров и формы зубов с применением керамических виниров
Коррекция размеров и формы зубов с применением керамических виниров
Керамические виниры с предварительной пластикой десны
Керамические виниры на зубах верхней и нижней челюсти
Керамические виниры на резцах верхней и нижней челюстей
Керамические виниры на зубах верхней челюсти
Керамические виниры на зубах верхней и нижней челюсти
Керамические виниры на резцах и клыках верхней челюсти
Керамические виниры на зубах верхней челюсти
Керамические виниры на зубах верхней челюсти
Прямые композитные реставрации
Лечение кариеса
Домашнее отбеливание
Профессиональная гигиена
Профессиональная гигиена
Профессиональная гигиена
Профессиональная гигиена на ортодонтическом лечении
Профессиональная гигиена полости рта
Профессиональная гигиена (налет курильщика)
Гигиена полости рта (налет курильщика)
Гигиена полости рта с предварительным окрашиванием зубного налета
Изготовление съемного протеза на нижнюю челюсть
Врач: Бадан К.В.
Протезирование на имплантатах
Врач: Бадан К.В.
Керамический винир и керамические коронки в зоне улыбки
Врач: Бадан К.В.
Керамические виниры
Врач: Бадан К.В.
Керамические виниры
Врач: Бадан К.В.
Керамические виниры
Врач: Бадан К.В.
Восстановление сломанного зуба цельнокерамической коронкой
Врач: Бадан К.В.
Цельнокерамические коронки на имплантаты
Врач: Бадан К.В.
Цельнокерамические коронки на жевательные зубы
Врач: Бадан К.В.
Восстановление травмированного зуба цельнокерамической коронкой
Врач: Бадан К.В.
Виниры и коронки на зубах верхней челюсти
Врач: Бадан К.В.
Эстетические реставрации центральной группы зубов
Композитные реставрации
Керамические виниры при значительном изменении цвета зубов
Керамические виниры при значительном изменении цвета зубов
Керамические виниры
Эстетическая реконструкция улыбки керамическими винирами
Эстетические реставрации керамическими винирами
Отбеливание зубов системой ZOOM
Керамические виниры
Реконструкция улыбки керамическими винирами с предварительным ортодонтическим лечением врач-ортодонт ЗабродинаО.Ю.) и отбеливанием
Эстетическая реставрация улыбки керамическими винирами
Коррекция формы и положения центральных зубов на верхней и нижней челюсти керамическими винирами
Реставрация центральных зубов керамическими винирами
Керамические виниры + отбеливание
Керамические виниры + отбеливание
Керамические виниры + отбеливание
Восстановление зубов вкладками
Восстановление зубов вкладками
Прямая эстетическая реставрация
Прямая эстетическая реставрация
Ортодонтическое лечение + эстетические реставрации
Керамические виниры установлены на 8-ми верхних зубах
Керамические виниры на 6-ти верхних центральных зубах
Керамические виниры на 6-ти верхних зубах
Керамические виниры на 6-ти верхних зубах
Отбеливание ZOOM
Реставрация передней группы зубов керамическими винирами
Реставрация передней группы зубов керамическими винирами
Реконструкция улыбки керамическими винирами с предварительным ортодонтическим лечением (ортодонт Забродина О.Ю.)
Лечение кариеса под операционным микроскопом
Восстановление центральных резцов керамическими винирами
Реставрация центральных верхних резцов керамическими винирами и коронками
Комплексное протезирование зубов керамическими коронками и винирами
Лечение с микроскопом
Лечение кариеса
Керамические виниры с предварительной коррекцией контура мягких тканей
Керамические виниры при значительном дисколорите
Эстетическая реставрация центральных резцов композитной пломбой и цельнокерамической коронкой
Лечение кариеса под операционным микроскопом
Эстетическая реставрация центральных зубов композитным материалом
Лечение кариеса 2-х зубов
Восстановление зуба пломбой-вкладкой
Прямая эстетическая реставрация центральных зубов
Эстетическая реставрация второго резца
Реставрации центральных зубов
Реставрации центральных зубов
Реставрации центральных зубов
Эстетическая реставрация керамическими конструкциями центральных зубов
Коронка на имплантате, центральный резец
Протезирование резца керамической коронкой
Протезирование керамическими винирами
Протезирование на имплантах
Изготовление и фиксация керамичесих коронок с опорой на имплантаты
Изготовление и фиксация керамических коронок с опорой на имплантаты верхней челюсти
Комплексное протезирование на имплантах
Комплексное протезирование на имплантах
Протезирование передних резцов безметалловой керамикой
Тотальное протезирование зубов
Лечение и восстановления молочного зуба стандартной металлической коронкой
Восстановление разрушенных временных зубов стандартными коронками
Восстановление молочных зубов стандартными коронками
Лечение осложненного кариеса у ребенка 5 лет и восстановление зубов коронками
Лечение осложненного кариеса зуба и восстановление коронкой
Лечение кариеса у ребенка без препарирования по системе Icon
Лечение кариеса и восстановление разрушенных зубов стандартными коронками у ребенка 5 лет
Восстановление постоянного зуба после травмы
Некариозное поражение эмали центральных зубов верхней челюсти
Лечение кариеса молочного зуба
Гигиена полости рта в молочном прикусе
Герметизация фиссур постоянного зуба
Профессиональная гигиена у ребенка в сменном прикусе
Профессиональная гигиена полости рта у ребенка в сменном прикусе
Лечение кариеса молочного зуба
Лечение кариеса молочного зуба, герметизация постоянного зуба и удаление разрушенного молочного зуба
Кариес молочного зуба, лечение
Лечение кариеса, удаление молочных зубов, восстановление стандартными коронками разрушенных зубов у ребенка 4 лет
Лечение кариеса
Гигиена полости рта у ребенка 5 лет
Лечение кариеса молочных зубов у ребенка 4 года
Лечение кариеса молочного зуба у ребенка 7 лет
Гигиена полости рта у подростка 14 лет
Лечение кариеса постоянных зубов у ребенка 13 лет
Герметизация фиссур у ребенка 6 лет
Реставрация центральной группы
Лечение кариеса молочного зуба с восстановлением цветной пломбой
Лечение кариеса молочного зуба с восстановлением цветной пломбой
Лечение кариеса молочного зуба
Лечение клиновидного дефекта
Восстановление пломбой-вкладкой
Лечение кариеса
Лечение кариеса центральных зубов у ребенка 13 лет
Лечение кариеса
Лечение кариеса под микроскопом
Лечение кариеса под микроскопом
Лечение кариеса жевательного зуба под микроскопом
Диагностика и лечение контактного скрытого кариеса зубов
Лечение кариеса жевательных зубов
Лечение кариеса под микроскопом
Диагоностика и лечение скрытого кариеса под микроскопом
Восстановление разрушенного зуба композитной вкладкой
Реставрация клиновидного дефекта
Пародонтологическая подготовка к протезированию
Лечение кариеса жевательных зубов
Лечение кариеса жевательного зуба
Лечение кариеса жевательного зуба
Лечение кариеса под микроскопом
Лечение генерализованного пародонтита, подготовка к ортодонтии
Пародонтологическое лечение перед фиксацией брекет-системы
Реставрация после травмы
Лечение кариеса жевательного зуба под микроскопом
Лечение кариеса под микроскопом
Лечение контактного кариеса под микроскопом
Лечение осложненного кариеса под микроскопом
Рецедив кариеса, лечение под микроскопом
Лечение контактного кариеса под микроскопом
Рецидив кариеса, лечение под микроскопом
Лечение глубокого кариеса под микроскопом
Лечение кариеса под микроскопом
Хирургическая коррекция десны и восстановление центральных зубов керамической коронкой и керамическим виниром
Восстановление отсутствующего зуба керамической коронкой с опорой на имплантат
Имплантация и протезирование в области жевательного зуба
Тотальное протезирование керамическими коронками и винирами
Восстановление центральных зубов керамическими коронками после ортодонтической подготовки (ортодонт Поскотинова Ю.В.)
Восстановление коронками центральных зубов верхней челюсти
Протезирование цирконевой конструкцией на 4-х имплантатах в области верхней и нижней челюсти
Тотальное протезирование керамическими винирами и коронками
Тотальное протезирование керамическими коронками с опорой на имплантаты и керамическими винирами
протезирование керамическими коронками и винирами
Коррекция цвета и формы керамическими коронками
Закрытие рецессии десны
Керамические виниры
Керамические виниры
Керамические виниры
Перелом центрального зуба, восстановление керамической коронкой
Эстетическое восстановление центральных зубов керамическими коронками
Эстетическая реставрация зубов керамическими коронками и винирами
Восстановление жевательных зубов керамическими коронками
Тотальное протезирование с опорой на имплантаты
Домашнее отбеливание + реставрации центральных зубов
Восстановление жевательного зуба пломбой-вкладкой
Лечение кариеса боковых зубов и восстановление композитным материалом и пломбой-вкладкой
Лечение кариеса жевательного зуба под перационным микроскопом
Лечение скрытого кариеса под операционным микроскопом
Отбеливание ZOOM
Реставрация боковых зубов пломбой-вкладкой и композитным материалом
Эстетические реставрации зубов верхней и нижней челюстей композиционными материалами
Реставрация центральных зубов композитным материалом
Эстетическая реставрация центральных резцов композиционным материалом
Реставрация жевательного зуба композитной пломбой-вкладкой
Эстетическая реставрация центральных резцов
Реставрация переднего зуба после травмы у ребенка 13 лет
Реставрация центральных зубов композиционными материалами
Эстетическая реставрация композитным материалом
Эстетическая реставрация центрального зуба композитным материалом
Лечение кариеса верхних жевательных зубов
Лечение кариеса
Лечение кариеса, замена амальгамных пломб на эстетические
Реставрации
Восстановление зубов вкладками
Ортодонтическое лечение + реставрация
Лечение кариеса моляра
Реставрация боковых резцов
Восстановление зуба вкладкой
Реставрация жевательного зуба
Реставрация зуба + восстановление вкладкой
Восстановление зуба пломбой-вкладкой
Восстановление зуба пломбой-вкладкой
Восстановление жевательного зуба пломбой-вкладкой
Лечение кариесов жевательных зубов
восстановление жевательного зуба пломбой-вкладкой
восстановление жевательного зуба пломбой-вкладкой
Восстановление керамической вкладкой
Профессиональная чистка зубов
Профессиональная чистка зубов
Профессиональная чистка зубов
Профессиональная гигиена полости рта у ребенка 9-ти лет
Профессиональная гигиена полости рта у пациента с брекет-системой
Профессиональная гигиена полости рта
Профессиональная гигиена
Профессиональная гигиена
Профессиональная гигиена
Профессиональная гигиена
Профессиональная гигиена
Профессиональная гигиена
Профессиональная гигиена у пациента 18 лет
Пародонтологическое лечение
Профгигиена
Лечение кариеса зуба мудрости под микроскопом
Рецедив кариеса, лечение под микроскопом
Лечение пришеечного кариеса под микроскопом
Лечение кариеса под микроскопом
Лечение кариеса под микроскопом
Лечение кариеса на контактной поверхности зуба под микроскопом
Лечение кариеса жевательного зуба под микроскопом
Восстановление разрушенного жевательного зуба керамической вкладкой
Лечение рецедива кариеса зуба
Лечение зуба мудрости под микроскопом
Диагностика и лечение скрытого кариеса под микроскопом
Восстановление разрушенного зуба керамической вкладкой
Лечение рецедива кариеса под микроскопом
Лечение кариеса жевательного зуба под микроскопом
Лечение кариеса под микроскопом
Лечение кариеса под микроскопом
Лечение вторичного кариеса под пломбой
Замена старой пломбы
Реставрация разрушенного зуба
Лечение контактного кариеса под микроскопом
Лечение глубокого кариеса зубов под микроскопом
Лечение кариеса под микроскопом
Лечение контактного кариеса под микроскопом
Лечение кариеса под микроскопом
Лечение рецидивирующего кариеса зуба, восстановление композитным материалом
Лечение кариеса под микроскопом
Лечение кариеса передних зубов на верхней челюсти
Лечение кариеса зуба мудрости на нижней челюсти под микроскопом
Лечение кариеса зуба мудрости на верхней челюсти под микроскопом
Реставрация центрального зуба
Лечение кариеса зубов с применением микроскопа
Реставрация центральных зубов
Восстановление жевательной группы зубов вкладками
Эстетическая реставрация +ортодонтическое лечение (доктор Поскотинова Ю.В.)
Реставрации центральной группы зубов
Лечение кариеса зубов с применением микроскопа
Лечение кариеса под микроскопом
Лечение кариеса под микроскопом (скрытая кариозная полость на контактной поверхности верхнего премоляра)
Скрытый контактный карес (лечение под микроскопом)
Диагностика и лечения скрытого кариеса под микроскопом
Лечение скрытого контактного кариеса под микроскопом
Лечение кариеса под микроскопом
Лечение кариеса жевательного зуба под микроскопом
Реставрация клиновидных дефектов зубов
Лечение кариеса зуба под микроскопом
Лечение кариеса зуба под микроскопом
Лечение кариеса зуба под микроскопом
Лечение кариеса жевательного зуба
Замена реставрации и закрытие диастемы верхних центральных зубов
Внутреннее отбеливание зубов
Лечение осложненного кариеса постоянного зуба
Реставрация постоянного зуба у ребенка 9 лет после лечения пульпита
Лечение скрытого кариеса постоянного зуба у ребенка
Реставрация постоянного зуба при лечении пульпита
Лечение скрытого кариеса под микроскопом
Восстановление зуба с применением композитной вкладки
Лечение кариеса зуба под микроскопом
Лечение кариеса жевательного зуба под микроскопом
Герметизация фиссур жевательного зуба у подростка
Восстановление центрального зуба
Лечение кариеса передних зубов
Лечение скрытого кариеса постоянного зуба у ребенка под микроскопом
Реставрации после травмы зубов пациент 9 лет
Лечение глубокого кариеса постоянного зуба
Лечение скрытого кариеса постоянного зуба у подростка
Лечение кариеса скрытого кариеса зуба у подростка
Лечение глубокого кариеса у подростка
Лечение кариеса передних зубов в взрослого пациента
Реставрации после травмы зубов пациент 13 лет
Реставрации после травмы зубов пациент 12 лет
Реставрации после травмы зубов пациент 11 лет
Реставрации после травмы зубов пациент 10 лет
Восстановление зуба композитной вкладкой
Лечение скрытого кариеса
Лечение кариеса жевательного зуба
Лечение начального кариеса двух зубов
Лечение кариеса жевательного зуба
Лечение кариеса двух центральных зубов
Восстановление зуба вкладкой
Лечение кариеса
Реставрация жевательных зубов
Лечение кариеса молочного зуба
Лечение кариеса
Восстановление зуба композитной вкладкой
Лечение кариеса жевательного зуба
Лечение кариеса жевательного зуба
Лечение скрытого кариеса верхнего клыка
Лечение скрытого кариеса под микроскопом
Лечение кариеса под микроскопом
Реставрация зуба после травмы
Лечение кариеса жевательного зуба под микроскопом
Восстановление зуба вкладкой
Лечение кариеса под микроскопом
Восстановление зуба композитной вкладкой
Лечение кариеса жевательного зуба
Коррекция цвета ранее выполненных реставраций
Лечение кариеса
Лечение десен на аппарате Вектор
Лечение язвенно-некротического пародонтита
Пародонтологическое лечение
Лечение десен аппаратом Вектор
Лечение хронического пародонтита. Плазмолифтинг
Лечение хронического пародонтита аппаратом Вектор
Коррекция обратного перекрытия центральных зубов с помощью частичной брекет-системы у ребенка 9 лет
Коррекция прикуса , положения зубов с помощью лигатурной брекет-системы
Расширение верхней челюсти и устранение резцового перекрытия с помощью съемного аппарата
Лечение глубокого дистального прикуса на безлигатурной брекет-системе
Лечение перекрестного прикуса на безлигатурной брекет-системе
Замена старой реставрации на переднем зубе
Профессиональная гигиена полости рта перед ортодонтическим лечением
Лечение кариеса под микроскопом
Лечение кариеса жевательного зуба под микроскопом
Лечение кариеса
Лечение кариеса. восстановление скола зуба
Лечение контактного кариеса зубов
Пародонтологическое лечение (профессиональная гигиена, Вектор-терпия)
Лечение кариеса зуба
Лечение скрытого кариеса зубов
Лечение кариеса жевательного зуба
Лечение кариеса зубов
Лечение кариеса жевательного зуба
Поддерживающее пародонтологическое лечение
Пародонтологичекое лечение
Лечение скрытых кариозных полостей на контактных поверхностях зубов
Лечение кариеса на контактных поверхностях верхних передних зубов
Лечение кариеса под микроскопом
Съемное протезирование на имплантах
Эстетическое протезирование зубов верхней челюсти керамическими винирами и коронками
Замена старых коронок центральных зубов, эстетическое восстановление керамическими коронками
Тотальное протезирование керамическими коронками с опорой на имплантаты и естественные зубы
Эстетическая реставрация центральных зубов верхней челюсти керамическими коронками и винирами
Лечение патологии прикуса и восстановление отсутствующего центрального зуба керамической коронкой с опорой на имплантат (ортодонт Поскотинова Ю.В.)
Тотальное протезирование керамическими коронками с опорой на естественные зубы
Восстановление керамическими коронками передних центральных зубов
Изготовление и фиксация керамических виниров на центральные зубы верхней челюсти
Изготовление и фиксация керамической коронки с опорой на имплантат
Реставрация центральных зубов верхней челюсти керамическими винирами
Протезирование отсутствующего зуба керамической коронкой с опорой на имплантат
Имплантация и протезирование боковой группы зубов на верхней и нижней челюсти керамическими коронками
Коррекция формы и цвета центральных и боковых резцов верхней челюсти при помощи керамических коронок и виниров
Восстановление разрушенного жевательного зуба керам коронкой
Коррекция цвета и формы зубов при помощи отбеливания и керамических виниров
Эстетическое протезирование центральных зубов верхней челюсти
Профессиональная чистка зубов
Профессиональная гигиена полости рта
Профессиональная гигиена полости рта перед ортодонтическим лечением
Гигиена полости рта, удаление налета курильщика
Профессиональная чистка зубов у подростков
Профессиональная чистка зубов у подростков
Профессиональная чистка зубов у подростков
Профессиональная гигиена при лечении на брекет-системе
Профессиональная гигиена при лечении на брекет-системе
Профессиональная чистка зубов
Профессиональная игиена у ребенка
Ортодонтическое лечение на бреккет системе вч и нч, 13 лет
Ортодонтическое лечение на бреккет-системе вч и нч с последующей временной реставрацией отсутствующего зуба, 14 лет
Ортодонтическое лечение на бреккет-системе вч и нч, подросток 17 лет
Ортодонтичское лечение на частичной бреккет-системе, ребенок 8 лет
Лечение подростка 14 лет на лигатурной бреккет-системе
Лечение на безлигатурной бреккет-системе подростка 17лет
Результат клинического отбеливания зубов
Врач: Топор О.В.
Эстетическая реставрация центральных верхних зубов
Врач: Топор О.В.
Эстетическая реставрация центральных нижних зубов
Врач: Топор О.В.
Эстетические реставрации центральных зуб
Врач: Топор О.В.
Эстетическая реставрация центральных верхних зубов после ортодонтического лечения
Врач: Топор О.В.
Лечение кариеса центральных зубов
Врач: Топор О.В.
Лечение кариеса центральных зубов
Врач: Топор О.В.
Эстетическая реставрация центральных зубов
Врач: Топор О.В.
Ассимметрия и старая композитная реставрация
Отбеливание ZOOM
Отбеливание ZOOM
Отбеливание ZOOM
Композитная реставрация трем верхней челюсти
Композитная реставрация стираемости верхних резцов
Диастема верхней челюсти
Эстетические композитные реставрации
Травма коронки верхнего резца
Кариес верхних резцов
Закрытие диастемы нижней челюсти
Тремы. Стираемость верхних центральных резцов
Микродентия верхних боковых резцов
Кариес и ротация верхних резцов
Дисколорит девитального зуба
Гипоплазия. Пародонтальная шпора
Гипертрофия десны, дефект режущего края
Отбеливание ZOOM
Профессиональная гигиена полости рта
Профессиональная гигиена полости рта, вектор-терапия
Профессиональная гигиена полости рта, вектор-терапия
Лечение десен аппаратом Вектор
Лечение пародонтита аппаратом Вектор
Профгигиена полости рта
Профессиональная гигиена полости рта
Профессиональная гигиена полости рта
Профессиональная гигиена полости рта
Профессиональная гигиена полости рта
Профессиональная гигиена
Профессиональная гигиена полости рта
Лечение пародонтита
Профессиональная гигиена полости рта, вектор-терапия
Профессиональная гигиена полости рта на этапе ортодонтического лечения
Профессиональная гигиена полости рта
Профессиональная гигиена полости рта
Профессиональная гигиена полости рта
Профессиональная гигиена полости рта
Профессиональная гигиена полости рта
Профессиональная гигиена полости рта
Профессиональная гигиена полости рта
Профессиональная гигиена полости рта
Профессиональная гигиена полости рта перед ортодонтичским лечением
Профессиональная гигиена полости рта
Профессиональная гигиена полости рта
Профессиональная гигиена полости рта
Профессиональная гигиена полости рта
Профессиональная гигиена полости рта
Лечение заболеваний десен
Лечение гипертрофического гингивита, вектор-терапия
Комплексное лечение тяжелого пародонтита
Пародонтологическая подготовка к брекет-лечению
Лечение генерализованного пародонтита аппаратом Вектор
Лечение тяжелого генерализованного пародонтита, шинирование зубов нижней челюсти
Лечение тяжелого генерализованного пародонтита
Лечение тяжелого пародонтита с применением методики вектор-терапии
Лечение тяжелого пародонтита
Лечение тяжелого пародонтита
Лечение пародонтолога перед фиксацией брекет-системы
Комплексная реабилитация пациента с тяжелым генерализованным пародонтитом (вектор-терапия, ортодонтия, протезирование)
Лечение заболевания пародонта + ортодонтическое лечение (Болотова Е.В.)
Лечение заболевания пародонта + ортодонтическое лечение (Болотова Е.В.)
Пародотологическая подготовка к ортодонтическому лечению
Временный съемный пластиночный протез
Врач: Яркин Д.А.
Реставрации керамическими коронками на зубах и имплантах (имплантолог Габов Р.С.)
Врач: Яркин Д.А.
Эстетические реставрации центральной группы зубов керамическими коронками и винирами
Врач: Яркин Д.А.
Восстановление утраченного зуба керамической коронкой с опорой на имплантат
Врач: Яркин Д.А.
Керамические виниры и коронки на зубах верхней челюсти
Врач: Яркин Д.А.
Протезирование керамическими коронками с опорой на импланты и зубы (хирург-имплантолог Тюлейкин С.Ю.)
Врач: Яркин Д.А.
Комплексное протезирование зубов верхней и нижней челюстей керамическими и металлокерамическими конструкциями
Врач: Яркин Д.А.
Тотальное протезирование керамическими винирами с предварительной ортоподготовкой и стабилизацией ВНЧС (ортодонт Забродина О.Ю.)
Врач: Яркин Д.А.
Тотальное протезирование керамическими конструкциями на своих зубах и имплантах при патологической стираемости зубов
Врач: Яркин Д.А.
Тотальное протезирование керамическими реставрациями с предварительной ортодонтической подготовкой и лечением ВНЧС (ортодонт Васильев А.В.)
Врач: Яркин Д.А.
Тотальное протезирование керамическими реставрациями с предварительной подготовкой ВНЧС
Врач: Яркин Д.А.
Протезирование условно-сьемным протезом все на 4-х на имплантах на верхней челюсти и керамическими коронками и винирами на нижней челюсти
Врач: Яркин Д.А.
Протезирование бюгельными протезами и одиночными керамическими коронками на верзней и нижней челюсти
Врач: Яркин Д.А.
Протезирование разрушенного зуба циркониевой коронкой
Врач: Яркин Д.А.
Керамическая коронка на жевательном зубе
Врач: Яркин Д.А.
Немедленная имплантация с непосредственной нагрузкой
Врач: Яркин Д.А.
Протезирование временно-долговременными сьемными протезами
Врач: Яркин Д.А.
Протезирование керамическими коронками
Врач: Яркин Д.А.
Протезирование керамическими коронками на имплантах
Врач: Яркин Д.А.
Сьемные протезы на верхней и нижней челюстях
Врач: Яркин Д.А.
Бюгельный протез на вч и нч + металлокерамические коронки на зубах
Врач: Яркин Д.А.
Керамические коронки на естественных зубах и имплантах
Врач: Яркин Д.А.
Цельнокерамические коронки с опорой на естественные зубы и импланты
Врач: Яркин Д.А.
Восстановление центральных зубов вч керамическими конструкциями
Врач: Яркин Д.А.

Нужна консультация?

Оставьте свой номер и мы Вам перезвоним, ответим на все вопросы и постараемся решить Ваш вопрос максимально быстро.

Запись на прием